Abstract
Background. Acute pancreatitis (AP) is a disease that can still be fatal despite rapid advances in medicine. The relationship between serum nesfatin-1 levels and AP is still to be fully resolved.
Objectives. To investigate the utility of serum nesfatin-1 levels in the diagnosis of AP.
Materials and methods. Twenty-four male Sprague Dawley rats were divided into control, mild pancreatitis and severe pancreatitis groups (n = 8/group). Acute pancreatitis was induced by cerulein injection and the control group received saline injections. Then, the serum nesfatin-1, amylase, lipase, aspartate aminotransferase (AST), and alanine aminotransferase (ALT) levels were determined. A pathologist blinded to the study scored the severity of pancreatitis.
Results. There was a considerable decrease in serum nesfatin-1 levels in parallel to the severity of pancreatitis, though there was no statistically significant relationship observed between pancreatitis and nesfatin-1. In addition, there was no significant difference in AST or ALT levels among the groups. However, a strong positive correlation between amylase and lipase levels was observed (p < 0.05). The severe pancreatitis group (group 3) had a higher lipase level and pathology score than mild pancreatitis group (group 2), and this difference was statistically significant.
Conclusions. Serum nesfatin-1 may be used as a diagnostic and severity marker in pancreatitis in the future.
Key words: rat, acute pancreatitis, nesfatin-1
Background
Acute pancreatitis (AP) has high mortality and morbidity rates despite technological advancements in medicine. It is caused by nonbacterial acute inflammation that can exhibit clinical and histological remission and develops due to activated pancreatic enzymes leaking into the parenchyma and digesting the gland.1, 2 Pathological tests for AP can return a wide spectrum of findings, ranging from mild interstitial edema to severe hemorrhagic gangrene and necrosis. The clinical signs of AP manifest to various degrees and can include indefinite abdominal pain, hypotension, fluid sequestration, metabolic disorders, and sepsis. The mortality rate is related to the severity of pancreatitis and could be as high as 30–39% in patients with necrotizing pancreatitis.3 Currently, there is no marker available with high sensitivity and specificity that could predict patient progress to severe pancreatitis. Nonetheless, biomarker studies are still ongoing, as it is thought that being able to predict the onset of severe pancreatitis could reduce mortality and morbidity rates.
Adipose tissue releases cytokines such as tumor necrosis factor-α and interleukin-1, and is an essential mediator of inflammation and metabolism. In addition, adipose tissue releases a range of adipokines such as resistin, leptin, visfatin, adiponectin, and the recently discovered nesfatin-1.4, 5 Oh-I et al. identified nesfatin-1 in 2006 as a satiety peptide comprising 82 amino acids found in many hypothalamic nuclei, including the paraventricular nucleus.4 This adipokine has been shown to be associated with metabolic syndrome and obesity, and several studies have demonstrated its various functions. Indeed, studies have shown the effects of nesfatin-1 on feeding behavior, autonomic control of visceral functions, neuroendocrine regulation, development and differentiation of adipose tissue, inflammation, thermoregulation, pancreatic insulin secretion, and glucose homeostasis in the liver, sleep, attention, anxiety, and stress. Moreover, nesfatin-1 was reported to regulate gastric emptying, gastric acid secretion, gastric motility, and reproductive functions.6, 7, 8, 9 In addition, a previous study determined that serum nesfatin-1 levels may have diagnostic value in acute mesenteric ischemia.10
Objectives
This study aimed to investigate the utility of serum nesfatin-1 levels in the diagnosis of AP and in predicting severe pancreatitis, using a cerulein-induced model of pancreatitis in rats.
Materials and methods
Animals
Male Sprague Dawley rats (n = 24) aged 4 months and weighing between 300–350 g were acquired from Experimental Animals Laboratory of Bezmialem Vakif Univesity (Istanbul, Türkiye) and maintained on a standard pellet diet. All in vivo experiments were conducted at the Experimental Animal Laboratory of Bezmialem Vakif Univesity Hospital after obtaining the approval of the Ethics Committee of Bezmialem Vakif Univesity (approval No. 2018/107).
Experimental design
Rats were divided into 3 groups (n = 8/group), including a control group and 2 treatment groups. Surgical procedures were performed under anesthesia induced using 10 mg/kg xylazine and 50 mg/kg ketamine hydrochloride, which were injected intramuscularly. Animals in group 1 were subcutaneously administered 5 physiological saline injections at 1-hour intervals to achieve a total dose of 50 µg/kg. Rats in group 2 were subcutaneously administered 5 cerulein injections at 1-hour intervals to achieve a total dose of 50 µg/kg. Group 3 received a total dose of 100 µg/kg of cerulein, which was also administered through a series of 5 subcutaneous injections at 1-hour intervals. Rats were decapitated 7 h after the first injection of cerulein or saline, and approx. 7–8 cm3 of blood were drawn from each tail vein. Blood was then stored for 40 min at room temperature before further processing.
Biochemical analyses
Blood samples were centrifuged (3500 rpm, 4°C for 10 min) to facilitate serum separation. The extracted serum was transferred to 0.5 cm3 Eppendorf tubes and delivered to the biochemistry laboratory for detection of nesfatin-1, amylase, lipase, aspartate aminotransferase (AST), and alanine aminotransferase (ALT).
Histopathological examination
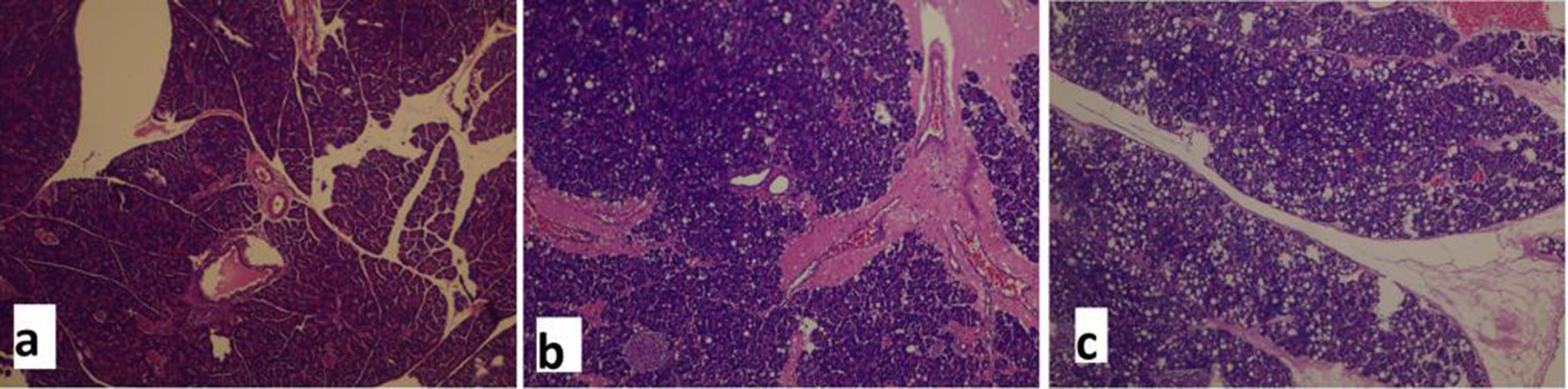
Laparotomy was performed by midline incision following decapitation, and pancreatic tissue was excised for histopathological assessment. Specimens were placed in 10% formaldehyde and delivered to the pathology laboratory. Tissue sections were stained using hematoxylin and eosin (H&E) and then investigated (Figure 1, Figure 2). Edema, inflammation, localization, and necrosis were scored between 0 and 4 using the Schonberg index.11
Statistical analyses
Descriptive statistics were summarized with mean, median, standard deviation, frequency, minimum, maximum, and ratio values. The distribution of variables was assessed using the Kolmogorov–Smirnov test, and the Kruskal–Wallis test was used to analyze independent quantitative data. Pairwise comparisons were undertaken using the Bonferroni-corrected Mann–Whitney U test. The IBM SPSS v. 22.0 software (IBM Corp., Armonk, USA) was used for all statistical analyses. A value of p < 0.05 was considered statistically significant.
Results
No rats were excluded from the study. Table 1 summarizes serum nesfatin-1, amylase, lipase, AST, and ALT levels, as well as pathology scores for all groups. The pathology scores revealed that none of the rats in the control group appeared to develop pancreatitis. However, group 2 had a mean pathology score of 6 and all rats in this group developed mild pancreatitis, whilst group 3 had a mean pathology score of 9 and all rats in this group developed severe pancreatitis.
Biochemical analyses indicated no significant differences in AST, ALT or serum nesfatin-1 levels between the groups. However, groups 2 and 3 had increased amylase (p = 0.003) and lipase levels (p = 0.003), and higher pathology scores (p = 0.001) in comparison to controls. There was no difference between groups 2 and 3 in terms of amylase levels (p = 0.423), although group 3 did have a higher lipase level and pathology score than group 2.
Discussion
Acute pancreatitis leads to the autodigestion of the pancreas, which is initiated by the activation of pancreatic enzymes within the gland.12, 13 It can also lead to systemic inflammatory conditions during its progression, in addition to localized events. Oxygen free radicals have been shown to have a substantial role in the development of AP,14 and are known to react with various molecules. In particular, oxygen free radicals cause the peroxidation of membrane phospholipids, which disturbs the integrity of the cell membrane and leads to cell death.
Data from extensive experimental studies have shown that oxygen free radicals are produced as essential mediators in the pathogeneses of several types of tissue damage, including AP. Indeed, oxygen free radicals are known to be involved in the pathophysiology of AP in both the early phase and during its progression.11, 13, 14
Kolgazi et al. showed that intraperitoneal injection of nesfatin-1 had anti-inflammatory effects in an acetic acid-induced model of gastritis.16 Nesfatin-1 achieved this effect by ensuring a balance between oxidant and antioxidant systems, in addition to inhibiting key pro-inflammatory mediators. Moreover, Ozturk et al. reported that nesfatin-1 had an anti-inflammatory effect in a model of ischemic colitis through the inhibition of neutrophil infiltration into tissues and the suppression of free radical formation.5 Furthermore, nesfatin-1 exhibited an antioxidant effect in colitis via oxytocin and ghrelin receptors.
Ayada et al. investigated the consequence of chronic systemic nesfatin-1 administration on the effectors of microcirculation and oxidant-antioxidant status in a rat model of intestinal ischemia/reperfusion injury.17 They concluded that nesfatin-1 could balance the oxidative status by decreasing the level of endothelial nitric oxide synthesis and by inhibiting its production.
Gonzalez et al. reported that insulin-producing beta cells of rats and mice co-express pronesfatin immunoreactivity.18 Furthermore, prohormone convertases, the same enzymes that convert proinsulin to mature insulin, cleave pronesfatin to nesfatin-1, -2 and -3.
Considering the various roles of nesfatin-1 in varoius models of AP, we analyzed the relationship between serum nesfatin-1 levels and AP. It was found that rats with AP had decreased serum nesfatin-1 levels, and this decrease was even greater in rats with severe pancreatitis. However, there was no statistical significance in the difference between the levels of AP and severe pancreatitis. This finding of decreased nesfatin-1 can be interpreted in 2 different ways. The 1st possibilty is that nesfatin is produced by pancreatic tissues and has proven anti-inflammatory effects, meaning that it may have been consumed at a higher rate to balance the oxidative status in AP. The 2nd possible interpretation is that the decrease in nesfatin production may have been lower in mild pancreatitis than in severe pancreatitis because the latter involves greater deterioration of the pancreas.
To the best of our knowledge, only 2 studies have examined the relationship between AP and nesfatin levels. In a study by Ulger et al., serum nesfatin-1 levels were measured on the days of admission and discharge in patients diagnosed with AP.19 However, a comparison of the 2 time points did not reveal any difference in nesfatin-1 levels. In another study comprising 97 patients, Türkoğlu et al. compared nesfatin-1 levels between mild and severe pancreatitis, and found no significant intergroup difference.20 However, the study was limited by the lack of a control group.
As far as we know, this is the first study to compare serum nesfatin-1 levels among control, mild and severe pancreatitis groups.
Limitations
The most important limitation of the study is that it was an animal-based study, and clinical studies are required.
Conclusions
Although there was a considerable decrease in serum nesfatin-1 levels that paralleled the severity of pancreatitis, no statistically significant relationship was observed between pancreatitis and nesfatin-1. Therefore, serum nesfatin-1 may be used as a diagnostic and/or severity marker of pancreatitis in the future.





