Abstract
Background. Sorafenib is a multikinase inhibitor currently used in the treatment of hepatocellular carcinoma, renal cell carcinoma and thyroid cancer.
Objectives. The literature on this agent is scarce. This study aimed to evaluate the effects of sorafenib when administered to both healthy and cisplatin-induced rats.
Materials and methods. The animals were divided into 4 groups: 1) control group that received 0.9% saline intraperitoneally (C); 2) group administered a single dose (7 mg/kg) of cisplatin (Cis); 3) a group administered 20 mg/kg of sorafenib for 7 days (Sor); 4) group administered 20 mg/kg of sorafenib followed by 7 mg/kg of cisplatin for 7 days (Cis+Sor). All animals were sacrificed 7 days after the completion of their treatment arm, and serum and tissue samples were taken.
Results. Alanine aminotransferase (ALT), aspartate aminotransferase (AST) and interleukin 38 (IL-38) levels were increased in the Sor and Cis+Sor groups compared to the control group. When compared with the control group, serum urea, creatinine, kidney IL-1β, and tumor necrosis factor alpha (TNF-α) levels did not change in the Sor group. When compared to the Cis group, the levels of these parameters decreased in the Cis+Sor group.
Conclusions. According to the data obtained, sorafenib caused liver toxicity when given to both healthy and cisplatin-induced rats. While sorafenib did not cause any significant changes in the kidneys when given to healthy rats, it had a healing effect in kidneys after stress induced by cisplatin.
Key words: IL-38, cisplatin, rat, nephrotoxicity, sorafenib
Background
The molecular revolution that has taken place over the last 30 years has led to a significant increase in the knowledge regarding the etiology of cancer.1 In the tumor development process, the misexpression of proto-oncogenes and tumor suppressor genes as a result of mutations is highly effective. The fact that almost all of the human genome sequences, including the sequences of oncogenes and tumor suppressor genes, have now been determined, has led to the development of targeted agents that aim to stop the proliferation and invasion of cancer cells by interfering with specific molecules that play a role in the mechanism of tumorigenesis; the same agents currently yield successful results in cancer treatment.2 Transmission of signals received from cell surface receptors to transcription factors for the regulation of gene expression and activation of proteins in the apoptosis process occurs via the MAPK/ERK or alias RAS/RAF/MEK/ERK signaling pathway, whose components (such as Ras and B-RAF) are encoded by proto-oncogenes.3, 4 Thus, MAPK/ERK plays a key role in the signaling pathways involved in cell survival, proliferation and differentiation. Sorafenib, an orally administered bis-aryl urea, inhibits the tyrosine kinase activity of C-RAF and B-RAF (against both wild-type and V599E mutants).3, 5 Sorafenib, due to its multikinase inhibitor, suppresses FMS-like tyrosine kinase-3 (FLT3), platelet-derived growth factor receptor β (PDGFR-β), stem cell growth factor receptor (ScGFR or c-KIT), and vascular endothelial growth factor receptors (VEGFRs type 2 and 3).2, 3, 5 Sorafenib has been clinically shown to be effective against hepatocellular carcinoma, renal cell carcinoma and thyroid cancer by increasing median survival rates.6, 7, 8
Cisplatin is a platinum compound used to treat solid tumors, such as bladder, colorectal, head and neck, lung, testicular, and ovarian cancers.9 The most basic mechanism of action of cisplatin, which enters the cell and interacts with DNA, RNA and proteins, is to crosslink to purine bases in DNA molecules in order to form DNA-platinum adducts.10, 11 This binding causes DNA damage in the nucleus and mitochondria. The DNA damage is likely greater in rapidly proliferating cancer cells.12 While apoptosis occurs as a result of damage to mitochondrial DNA, nucleotide excision repair (NER) and DNA mismatch repair (MMR) mechanisms in nuclear DNA take an active role in trying to repair the DNA damage. If the damage is beyond repair, the cell is again dragged into apoptosis.11 Cisplatin has a more toxic effect than cisplatin analogs and causes serious side effects, such as nephrotoxicity, ototoxicity, hepatotoxicity, gastrointestinal toxicity, and peripheral neuropathy.10, 11 Cisplatin is mainly collected in the kidneys. It activates cytoprotective signaling pathways, such as p21, and signaling pathways such as MAPK, p53 and reactive oxygen species (ROS) which promote cell death. In addition, inflammation as a result of tumor necrosis factor alpha (TNF-α) induction and ischemia caused by vascular injury resulting in cell death can occur in renal tubular cells exposed to cisplatin. Due to the effect of renal tissue damage and vascular injury, the glomerular filtration rate (GFR) decreases, and ultimately, acute renal failure develops.12
Objectives
Information on how sorafenib works, both when given healthy subjects and in different stress situations, is very limited. This study aimed to investigate the effects of sorafenib on renal and liver tissues when administered to both healthy and cisplatin-induced rats. For this purpose, after general serum biochemical analyses, polymerase chain reaction (PCR) analyses were performed on the kidney, which is the tissue with the highest potential for cisplatin toxicity. In addition, histopathological evaluations were conducted on both liver and kidney tissues.
Materials and methods
Chemicals
Cisplatin (Cisplatin-Ebewe®, 100 mg/100 mL) used in the study was purchased from Liba Lab (Istanbul, Türkiye). Sorafenib (BAY 43-9006, Nexavar, 200 mg) obtained from Bayer Türk Kimya San. Ltd. Şti. (Istanbul, Türkiye), ketamine (Ketalar, 500 mg/10 mL) obtained from Pfizer Drug Co. (Istanbul, Türkiye) and xylazine (Xylazin Bio 2%, 20 mg/mL) from Bioveta (Ankara, Türkiye) were used.
Animals
Animal care and use were performed according to the Turkish National Animal Experiments Ethics Committee guidelines after the approval of Atatürk University’s Animal Experiments Local Ethics Committee (approval No. 3125 from September 28, 2017). The 28 albino Wistar male rats weighing 200–220 g used in our study were purchased from Atatürk University Faculty of Medicine Experimental Application and Research Center, Erzurum, Türkiye. The animals were kept in plastic breeding cages with free access to a standard laboratory nutrient diet and tap water ad libitum. Controlled experimental conditions, such as a 12-hour light/dark cycle, 21 ±1°C temperature and relative humidity of approx. 60%, were maintained in the housing environments. The animals used in the experiment were divided into 4 groups, with 7 randomly selected rats in each group. The groups were as follows: C – control; Cis – cisplatin (7 mg/kg); Sor – sorafenib (20 mg/kg); and Cis+Sor – cisplatin (7 mg/kg) + sorafenib (20 mg/kg).
A single dose of 7 mg/kg cisplatin dissolved in 0.9% saline was administered intraperitoneally to the animals in the Cis and Cis+Sor groups. Sorafenib was administered at a dose of 20 mg/kg in the Sor and Cis+Sor groups. The sorafenib was administered orally for 7 days, with the first dose given 1 h after the administration of cisplatin. Only saline solution was administered intraperitoneally in the control group. At the end of the experimental period, an anesthetic cocktail (60 mg/kg ketamine + 7.5 mg/kg xylazine) dissolved in 0.9% saline was administered intraperitoneally, and then all of the animals were euthanized by exsanguination. The kidneys were taken from all the rats, washed with 0.9% saline and lysed with a homogenizer (IKA Ultra-Turrax® T25 basic homogenizer; IKA Werke, Staufen, Germany). Blood samples (~5 mL) were centrifuged at 2500 rpm for 15 min to obtain the serum (Eppendorf 5430R; Eppendorf, Hamburg, Germany). Homogenizations and serum samples were kept at –80°C for biochemical and PCR analyses.
Biochemical procedures
Serum alanine aminotransferase (ALT), aspartate aminotransferase (AST), urea, and creatinine measurements were performed using an Olympus AU640 autoanalyzer (Olympus Corp., Kobe, Japan). The kinetic urease/glutamate dehydrogenase method was used to determine the urea level, and the uncompensated Jaffe method was used for creatinine. The ALT and AST levels were measured according to the International Federation of Clinical Chemistry and Laboratory Medicine (IFCC) using pyridoxal phosphate activation. Serum 8-hydroxy-deoxyguanosine (8-OHdG) and interleukin 38 (IL-38) measurements were also performed. Sandwich enzyme-linked immunosorbent assay (ELISA) kits (catalog No. SG-20424 and No. SG-21170, respectively) supplied by SinoGeneClon Biotech Co., Ltd. (Hangzhou, China) were used for quantitative measurement with a Multiskan Sky Microplate Spectrophotometer (Thermo Fisher Scientific, Waltham, USA). The ELISA measurements were carried out in accordance with the manufacturer’s instructions.
Total RNA purification and cDNA synthesis
Total RNA isolation was performed on kidney homogenizations using a GeneAll® Hybrid-RTM (cat No. 305-101; GeneAll Biotechnology, Seoul, South Korea) total RNA purification kit in accordance with the manufacturer’s instructions. Complementary DNA (cDNA) was synthesized from total RNA using a High Capacity cDNA Reverse Transcription Kit (Applied Biosystems, Foster City, USA), according to the manufacturer’s instructions. Concentration determinations of cDNA samples were obtained using the μDrop™ Plate integrated into the Multiskan Sky Microplate Spectrophotometer (Thermo Fisher Scientific).
Quantitative real-time PCR
Both reverse transcription and quantitative real-time polymerase chain reaction (qRT-PCR) procedures were performed using the QuantStudio™ 5 Real-Time PCR Instrument (Thermo Fisher Scientific). The SYBR green-based expression analysis in QuantiTect Primer Assays (Qiagen, Hilden, Germany) was used for quantitative analysis. The total volume used for the reactions was 20 µL (5 µL of cDNA, 12.5 µL of master mix and 2.5 µL of primer solution). The catalog and the National Center for Biotechnology Information (NCBI) reference sequence numbers of the primers used in this study are as follows: ACTB1 (Rn_Actb_1_SG): QT00193473 and NM_031144.3; IL-1β (Rn_Il1b_1_SG): QT00181657 and NM_031512.2; TNF-α (Rn_Tnf_1_SG): QT00178717 and NM_012675.3.
All samples were run under the same cycling conditions of 95°C for 15 min, 94°C for 15 s (40 cycles), 55°C for 30 s (40 cycles), and 72°C for 30 s (40 cycles). Melting curve analysis was performed to confirm the formation of amplification products immediately after the quantitative analysis. The cycling conditions for the melting curve analysis were 95°C for 15 s, 60°C for 1 min and 95°C for 15 s. The samples were normalized with the beta-actin 1 (ACTB1) gene. The obtained data were evaluated using the 2−ΔΔCT method.
Histopathological evaluation
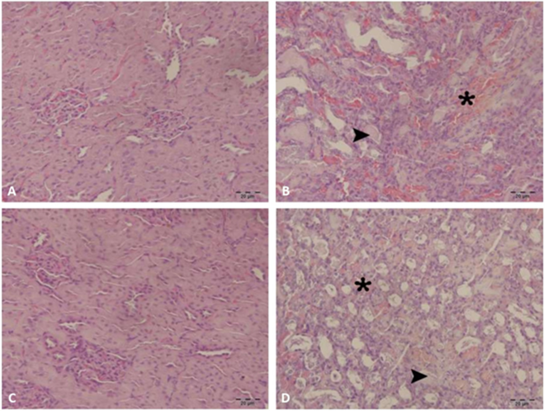
After the necropsies of the rats, liver and kidney tissues were fixed in a 10% neutral-buffered formaldehyde solution for 48 h. After the tissues were subjected to the standard alcohol-xylol processes, they were embedded in paraffin blocks. The paraffin-blocked tissues were cut into 5-mm-thick sections using a microtome (Leica RM2145; Leica Instruments, Nußloch, Germany). Ten deparaffinized and randomly selected sections from each tissue sample were stained with hematoxylin and eosin (H&E). The histopathological evaluation was conducted by a pathologist who was blinded to the study groups using a light microscope (Zeiss Primo Star with an integrated Carl Zeiss Axiocam ERc 5s; Carl Zeiss AG, Oberkochen, Germany).
Statistical analyses
Statistical analyses of the data were performed using IBM SPSS v. 22.0 (IBM Corp., Armonk, USA). Continuous variables with normal distribution are reported as mean ± standard deviation (M ±SD ). Variables that were not normally distributed are presented as median (interquartile range (IQR) (Q1–Q3)). The continuous variables were tested for the assumption of normality using the Shapiro–Wilk test. After, the homogeneity of the variances was tested using the Levene’s test. One-way analysis of variance (ANOVA) was used to compare continuous variables between the groups when variables were normally distributed. After ANOVA, Tukey’s honestly significant difference (HSD) was performed as a post hoc test when the homogeneity assumption was met. Otherwise, the Games–Howell test was used as a post hoc test. When the variables did not show normal distribution, the Kruskal–Wallis (K–W) test was performed and the Dunn’s test was used as a post hoc test. A value of p < 0.05 was considered statistically significant.
Results
Biochemical serum parameters
In the comparison between the groups, there was a statistically significant difference in urea levels (F(3,24) = 21.9, p < 0.001). The urea level in the Cis group was significantly higher than in all other groups. There was no difference between the control, Sor and Cis+Sor groups (Table 1, Table 2, Table 3).
The difference was significant in the comparison of creatinine between groups (F(3,19) = 52.783, p < 0.001). While the difference seen in the Sor group compared to the control group was insignificant, the differences between the control and Cis groups and the control and Cis+Sor groups were significant. Compared to the Cis group, the creatinine level in the Cis+Sor group was significantly lower (Table 1, Table 2, Table 3).
The differences in ALT levels between the groups were significant (F(3,19) = 123.238, p < 0.001). The differences between the control and Cis groups and Sor and Cis+Sor groups were not significant. The ALT level increased in the Sor group compared to the control group and the Cis group. Similarly, ALT levels in the Cis+Sor group were significantly increased compared to the control and Cis groups (Table 1, Table 2, Table 3).
The differences in AST levels between the groups were significant (F(3,22) = 50.904, p < 0.001). There was no difference between the control and Cis groups. The AST level in the Sor group increased compared to the control and Cis groups. Likewise, the increase in the Cis+Sor group was significant compared to both the control and Cis groups. In addition, the AST levels in the Cis+Sor group were significantly higher than in the Sor group (Table 1, Table 2, Table 3).
There was a significant difference in IL-38 levels between the groups (K–W statistics: 14.565, p = 0.002). There was no difference in the pairwise comparisons of the control and Cis groups and the Sor and Cis+Sor groups. The mean IL-38 levels in the Sor and Cis+Sor groups increased when compared with the control group. Likewise, the IL-38 levels in the Sor and Cis+Sor groups were significantly higher than in the Cis group (Table 1, Table 2).
No difference was observed in the comparison of serum 8-OHdG levels between the groups (F(3,20) = 1.068, p = 0.385); therefore, a pairwise comparison could not be performed (Table 1, Table 2, Table 3).
qRT–PCR results
The IL-1β levels differed significantly between the groups (F(3,20) = 9.138, p < 0.001). The IL-1β expression level increased in the Cis group compared to the control group (3.6 ±1.4-fold). When compared with the Cis group separately, the levels were lower in the Sor and Cis+Sor groups (1.3 ±0.5-fold and 1.5 ±0.6-fold, respectively). There were no differences between the control, Sor and Cis+Sor groups (Table 1, Table 2, Table 3).
The TNF-α levels differed significantly between the groups (F(3,18) = 39.507, p < 0.001). The TNF-α expression levels were higher in the Cis and Cis+Sor groups when compared to the control group (5 ±0.7-fold and 2.7 ±1-fold, respectively). The difference between the control and Sor group was insignificant (1.6 ±0.4-fold). The expression level of the Cis + Sor group was significantly decreased compared to that of the Cis group (Table 1, Table 2, Table 3).
Histopathologic examination
The rat livers in the control group had a normal histological appearance. Mild hemorrhaging with mildly necrotic hepatocytes were observed in the Cis group. Severe hemorrhages and necrotic hepatocytes were observed in the Sor and Cis+Sor groups (Figure 1). The kidneys of the rats in the control and Sor groups had a normal histological appearance. Severe intertubular hemorrhages and hyaline formations were observed in the kidneys of the rats in the Cis group, while these formations were partially alleviated in the Cis+Sor group (Figure 2).
Discussion
In this study, the effects of sorafenib were investigated in both healthy and cisplatin-stressed rats. For this purpose, serum parameters and changes in the expression levels were examined in the kidney tissue. It is known that cisplatin, a small molecule, accumulates in different cellular structures and cell types, including the cell membrane, cytosol, endoplasmic reticulum, mitochondria, nucleus, and lysosomes. This substance accumulates in many tissues and causes different types of toxicities.13 However, it has been shown in many different studies that the most common toxic effect is nephrotoxicity.12, 13 According to the data, cisplatin increased urea and creatinine levels, while sorafenib did not cause any change. Statistically significant reductions in urea and creatinine levels were also noted when sorafenib was administered to cisplatin-induced animals. Compared to the control group, ALT, AST and IL-38 levels did not increase in the cisplatin group, but these parameters increased in rats given sorafenib. When sorafenib was given to the cisplatin-induced group, although there was no statistically significant difference in ALT and IL-38 levels, we observed that the AST level increased significantly in the Cis+Sor group compared to the group that was administered only sorafenib.
Increases in urea and creatinine levels indicate a reduction in renal functions, while increases in ALT and AST indicate liver damage. It was reported that the hepatotoxic and nephrotoxic effects of cisplatin vary according to the dose and time after administration.14, 15, 16 Palipoch and Punsawad administered different doses of cisplatin to rats and recorded ALT, AST, BUN, and creatinine levels at 24 h, 48 h, 72 h, 96 h, and 120 h after administration.14 The data indicate that after a single dose of cisplatin administration, ALT and AST decreased, while BUN and creatinine increased compared to the first recording times (24 h and 48 h) with the progression of time. Indeed, the liver is a dynamic organ, and the stress caused by cisplatin can be expected to ease day by day. In addition, given that the kidneys are the main excretory organ in which cisplatin accumulates the most, the damage is likely to increase as time progresses. Similar data were obtained in our study. Serum ALT, AST and IL-38 values were found to be at the same level as those in the control group, when measurements were made 7 days after a single dose of cisplatin, while creatinine and urea values were found to be considerably high. The data indicate the presence of kidney damage even 7 days after cisplatin administration, similar to previous studies.17, 18 Previously, it was noted that sorafenib did not change BUN levels but decreased creatinine levels.19, 20, 21 Our study is the first to show reduced levels of urea and creatinine in rats under stress by cisplatin.
It has also been reported that sorafenib increases ALT and AST, thereby inducing liver damage.20, 22 However, there is no information about how IL-38 levels progress with subsequent applications. The IL-38, a member of the IL-1 family with pro-inflammatory and anti-inflammatory effects, is expressed in different tissues, such as the heart, placenta, fetal liver, spleen, thymus, and tonsils, and is generally associated with rheumatic diseases.23, 24 It is not known precisely how this cytokine works under stress. There is no research in the literature on how the administration of sorafenib affects IL-38. However, in a study conducted in mice, it was noted that in the liver damage model induced by concanavalin A, IL-38 increased together with ALT and AST due to stress, thus showing a hepatoprotective effect.25 Similarly, our data show that the IL-38 level is parallel to ALT and AST levels. In our analysis, it was observed that the level of 8-OHdG, which is a marker of oxidative DNA damage, increased in all groups compared with the control group, but these data were statistically insignificant.
In the 2nd part of our study, IL-1β and TNF-α expression levels in kidney tissue were examined. Similar to previous studies, IL-1β and TNF-α expression levels were increased in rats given only cisplatin.17, 18 The IL-1β and TNF-α expression levels did not change significantly in rats treated with sorafenib only. In addition, it was noted that IL-1β and TNF-α expression levels decreased when sorafenib was administered to rats that were given cisplatin. There are few studies in the literature reflecting the effects of sorafenib on cytokines when administered in healthy individuals or when used in cases of kidney damage or even any stress. Of these, sorafenib has been shown to reduce increased serum IL-1β and TNF-α levels in rats with adjuvant-induced arthritis.26 It has been noted that the secretion of active cytokines, such as IL-6, IL-12 and TNF-α, decreased in dendritic cell cultures treated with sorafenib.27 Sorafenib decreased the expression level of TNF-α in subcutaneous xenograft models of hepatocellular carcinoma in mice.28 The results obtained from these studies are in line with our findings. Our data indicate that sorafenib reduces the levels of IL-1β and TNF-α induced by cisplatin.
Limitations
There are very few studies on how sorafenib works both alone and in case of any damage or stress. Although we present findings on how this substance affects the liver and kidneys, future studies should investigate how sorafenib affects other areas.
Conclusions
In this study, it was observed that when sorafenib was administered to both healthy and cisplatin-induced rats, it caused liver toxicity. When sorafenib was administered to healty rats, the kidneys did not show any changes in the parameters studied. It was also observed that when stress was induced with cisplatin, sorafenib had a mitigating effect on kidney parameters. Serum biochemical and PCR data were supported by histopathological evaluations. Considering that the information about sorafenib is still insufficient, we think that our findings will contribute to the currently available literature.





