Abstract
Background. As the first target organ, the lungs usually display symptoms of acute lung injury (ALI). Pro-inflammatory cytokines, such as tumor necrosis factor alpha (TNF-α) and interleukin (IL)-2, are crucial in triggering the systemic inflammatory response syndrome and the subsequent cascading effects. Therefore, the inhibition of the release of inflammatory mediators has become an important strategy for the prevention and treatment of ALI.
Objectives. To evaluate the preventive and therapeutic effects of transmembrane peripheral blood leukocytes (PBLs) on lipopolysaccharide (LPS)-induced ALI and its mechanism.
Materials and methods. Sixty Sprague Dawley rats were randomly divided into experimental and control groups. The animal model was established through intravenous injection of LPS. Plasmid PBLs were dissolved in a saline solution and injected into the experimental group of rats in different doses (0.1 mg, 0.2 mg and 0.3 mg per rat) using the in situ injection method. After injecting the PBL solution, the rats were killed after 12 h, 24 h, 36 h, or 48 h. The expression of microRNA (miRNA)-25 and miRNA-223 was detected using the semi-quantitative reverse transcription-polymerase chain reaction (RT-PCR). Tumor necrosis factor alpha and IL-2 levels in bronchoalveolar lavage fluid (BALF) were detected with an enzyme-linked immunosorbent assay (ELISA). The expressions of TNF-α and IL-2 proteins in lung tissue were detected using western blotting.
Results. The expression of miRNA-25 was upregulated in tissues and BALF in a dose- and time-dependent manner, while miRNA-223 was downregulated. The differences were statistically significant compared to the control group (p < 0.05). The TNF-α and IL-2 levels in the BALF of rats in the experimental group were increased in a dose-dependent manner compared to the control group (p < 0.05). In the presence of PBLs, the expressions of TNF-α, IL-2, miRNA, and proteins were inhibited. Thus, PBLs were found to alleviate pulmonary tissue damage.
Conclusions. In summary, PBLs have a protective effect on rats with ALI through the downregulation of TNF-α and IL-2 expression.
Key words: IL-2, TNF-α, LPS, BALF, acute lung injury
Background
When the body is seriously injured, it will induce a systemic inflammatory response syndrome (SIRS) leading to multiple organ dysfunction syndrome (MODS). As the first target organ, the lung usually displays symptoms of acute lung injury (ALI).1, 2, 3, 4, 5, 6, 7, 8, 9, 10 Pro-inflammatory cytokines, such as tumor necrosis factor alpha (TNF-α) and interleukin (IL)-2, are key factors in triggering the SIRS and the subsequent cascading effects. As such, the inhibition of the release of inflammatory mediators has become an important strategy for ALI prevention and treatment.11, 12, 13, 14, 15, 16, 17, 18, 19, 20, 21 It is important to provide identification support for the early diagnosis of ALI as a therapeutic window for targeting in future clinical trials. However, the lack of specific biomarkers for ALI is arguably one of the main obstacles in the diagnosis and successful treatment of this syndrome.16, 17, 20, 21
MicroRNAs (miRNAs) are stable and small RNAs that can modulate the regulation of post-transcriptional genes. The expressions of miRNAs used in various tissues and cell types are considered to have cell-type specificity.3, 4, 5, 6 Currently, miRNAs have been reported as potential biomarkers for various types of disease. It has been demonstrated that miRNAs are present in human plasma in a quite stable form which prevents RNase degradation and allows the measurement of tumor-derived miRNAs in serum and plasma.6, 7, 13, 15 The results and conclusions of these studies generated many potential applications for miRNAs which are considered biomarkers of some diseases. A few publications reported that miRNA-25 may be a potential biomarker for cancer detection and diagnosis.8, 9, 10, 12 MiRNA-223 promotes endotoxin-mediated inflammation in endothelial cells and can be released from dendritic cells and subsequently taken up by recipient dendritic cells.11, 12 In summary, the 2 miRNAs investigated in this study were involved in inflammation and considered to be candidates for biomarkers. However, the expression of the above miRNAs in ALI is still unclear and has not been reported. This study aimed to investigate the genetic expression of miRNAs in Sprague Dawley rats with ALI.
Peripheral blood leukocytes (PBLs) have been reported to function as agents in reverse transmission signaling and to affect ALI.16, 17
Objectives
The objectives of this study were to investigate TNF-α and IL-2 in lung tissues of experimental rats, measure the level of expression of miRNA-25 and miRNA-223, and investigate the influence of PBLs on their expression.
Materials and methods
Animals
Specific pathogen-free (SPF) grade Sprague Dawley rats with an age of 4‒5 weeks and a weight between 160 g and 180 g were obtained from Center of Experimental Animal at Guangdong Medical University, China. The animal experiments were conducted in accordance with the Guide for the Care and Use of Laboratory Animals of the National Institutes of Health (NIH).22 The experiments in this study were approved by the Ethics Committee of Experimental Animal at Guangdong Medical University.
Materials
Lipopolysaccharide (LPS) was purchased from Shanghai Acmec Biochemical Co., Ltd. (Shanghai, China). TRIzol and the reverse transcriptase were obtained from Sinopharm Group (Beijing, China). The miRNAs were purchased from Yeasen Biotechnology Co., Ltd. (Shanghai, China). The anti-agents were obtained from Innochem Co., Ltd. (Beijing, China).
PBLs detection and expression
Seventy rats were selected for the experiments. The PBLs were solubilized in brine followed by a PBL solution injection into the left thigh muscle using an in-situ approach. The rats were divided randomly into 3 groups, based on the amount of PBLs injected (0.1 mg, 0.2 mg and 0.3 mg). Each group consisted of 20 rats. After the injection, the rats were sacrificed at different time intervals. The expression of PBLs in the tissue was detected using the reverse transcription polymerase chain reaction (RT-PCR) method.
Collection of samples
The rats were sacrificed by anesthesia using 2.5% isoflurane inhalation. Samples of lung tissue and bronchoalveolar lavage fluid (BALF) were obtained and centrifuged at 1500 rpm for 15 min at 5°C. The samples were collected in RNase-free tubes and loaded in a fridge at −70°C for future experiments. Tumor necrosis factor alpha and IL-2 levels in BALF were determined and the expressions of proteins were evaluated using western blotting.
cDNA preparation
The tissue samples were disrupted and the lysate was homogenized in an appropriate volume of the buffer solution. The lysate was centrifuged for 3 min at a maximum speed and the supernatant was carefully removed by pipetting. Then, the tissue samples were transferred to new microtubes and the total miRNAs were isolated from all the specimens using the RNeasy Mini Kit (Qiagen, Hilden, Germany) according to the manufacturer’s instructions. The total miRNA levels in BALF were isolated using miRNeasy Serum/Plasma Kit (Qiagen) according to the manufacturer’s instructions.
Single-stranded cDNA was prepared in a reverse-transcription reaction by means of TaqMan MicroRNA™ Reverse Transcription Kit (Thermo Fisher Scientific, Waltham, USA) using from 5–10 μg of miRNA according to the manufacturer’s protocol.
The measured sequences of cDNA were listed as follows: miRNA-25: 5’-CTTGTCGCAACTGTCGCCGTGGAGCTC-3’ and miRNA-223: 5’-ACGCTGGACTCCAGCTGGGAGAAATT 3’.
Polymerase chain reaction
The experimental conditions for the PCR experiments were applied as follows: denaturation at 90°C for 6 min with 50 cycles, followed by annealing at 90°C for 10 s and then the extension procedure at 50°C for 10 s.
Gel electrophoresis
The gels were prepared, stained and recorded, and the absorbance of the gel was determined. A sample of miRNA was determined and calculated to normalize for various concentrations and as a control sample to investigate the efficiency of the reaction.
Western blot
The lung tissues of rats were treated with a homogenizer and reagent. The protein concentrations were measured using a dedicated reagent (Kexing Biopharm Co., Ltd., Shanghai, China).
Enzyme-linked immunosorbent assay
The IL-2 and TNF-α levels in BALF were determined using an enzyme-linked immunosorbent assay (ELISA) kit manufactured by Kewei Biology Co., Ltd. (Jiangsu, China). The determination methods followed the manufacturer’s instructions.
Statistical analyses
All statistical analyses were conducted using IBM SPSS software v. 24.0 (IBM Corp., Armonk, USA) and R software v. 4.1.0 (R Foundation for Statistical Computing, Vienna, Austria). The Shapiro‒Wilk normality test was used to test for the normal distribution of data in each group. If a normal distribution was met, the mean with a 95% confidence interval (95% CI) was used to describe the data. If the data did not conform to a normal distribution, the median (interquartile range (IQR)) was used to describe the data.
The statistical significance of differences in means between the groups was analyzed using analysis of variance (ANOVA) when the data were normally distributed. When the assumption of a normal distribution was not met, the Kruskal–Wallis test was used. The Bartlett’s test was used to test for equal variances among groups. If equal variance was met, a post hoc test was performed using the Tukey’s test. If not, a post hoc test was performed using the Dunnett’s T3 test. The ANOVA linear contrast analysis compares the differences between linear models. In this study, there were contrasts between linear models if the time points were included or when the intervention groups were included as independent variables. A value of p < 0.05 indicated that the differences were statistically significant.
Results
The expression of miRNA-25
The in vivo change in miRNA-25 expression was investigated after injecting the membrane-type PBLs into the rats. A control group was also established. We checked the lung tissues and BALF for the expression of miRNA-25 at different time points after the injection of PBLs,. Figure 1, Figure 2 present the results of miRNA-25 expression in lung tissue and BALF, respectively. It was found that in BALF, the expression of miRNA-25 was significantly enhanced after PBLs injection in experimental groups, suggesting that the expression of miRNA-25 tends to increase with an increasing amount of time after PBLs stimulation.
The expression of miRNA-223
The membrane-type PBLs were injected into BALF based on the established experimental approach. Figure 3, Figure 4 show the results of miRNA-223 expression in lung tissue and BALF, respectively. The miRNA-223 levels were found to be significantly reduced in the experimental groups. Compared to the control group, the expression of miRNA-223 was significantly reduced after prolonged periods following PBL injection.
Pro-inflammatory cytokine production
Figure 5 shows that the levels of TNF-α and IL-2 in BALF were enhanced after PBL injection. Peripheral blood leukocyte stimulation led to a dramatic increase in TNF-α levels. Furthermore, IL-2 levels dramatically rose a dose-dependent profile with statistically significant differences (p < 0.05). Similarly, Figure 6 shows that IL-2 protein levels in lung tissues were both increased. Therefore, it is clear that the administration of higher concentrations of PBLs resulted in higher TNF-α and IL-2 levels (p < 0.05).
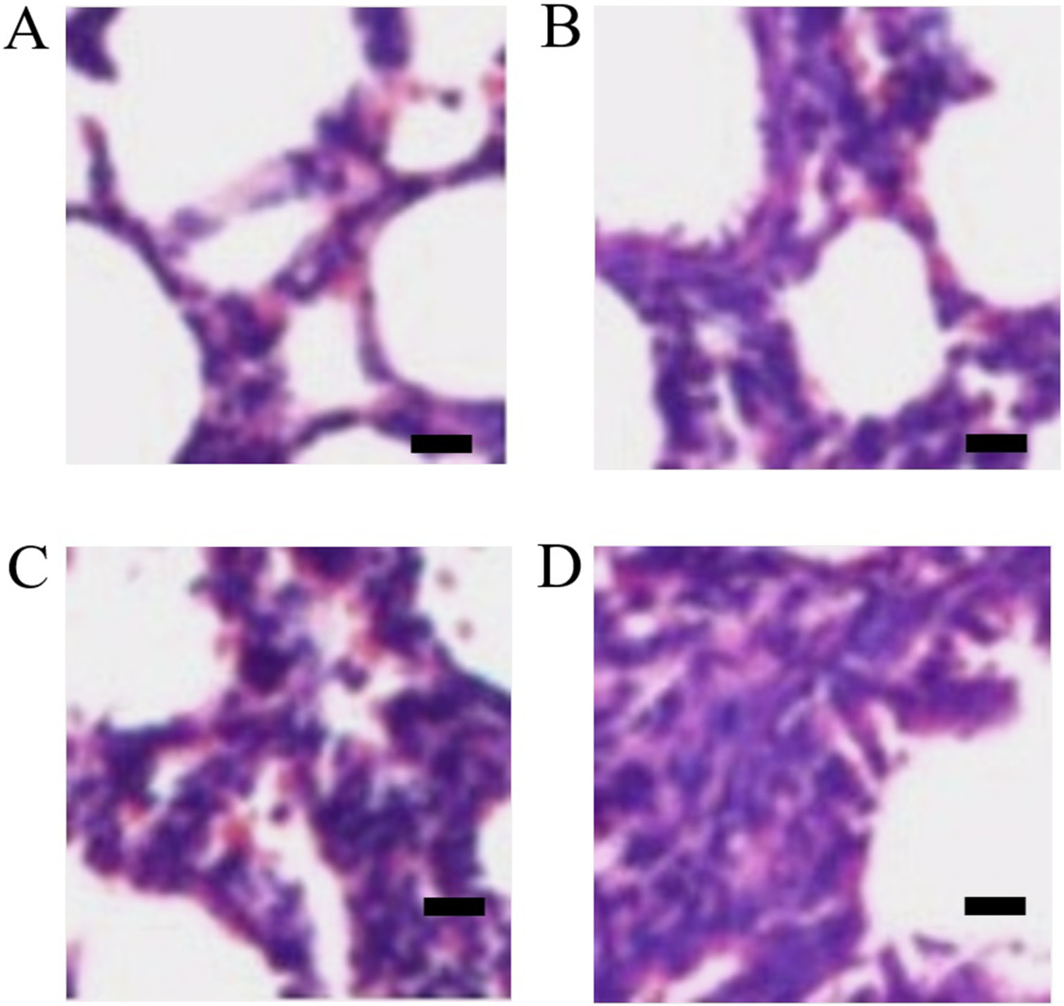
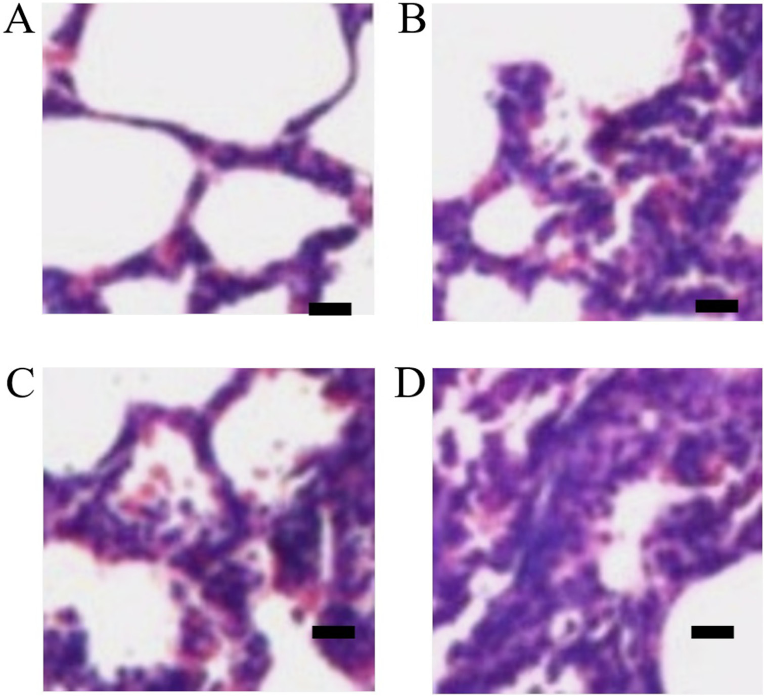
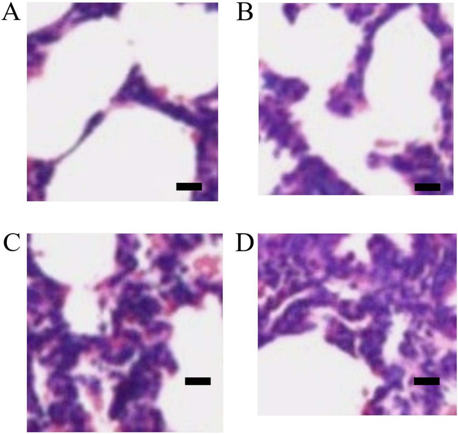
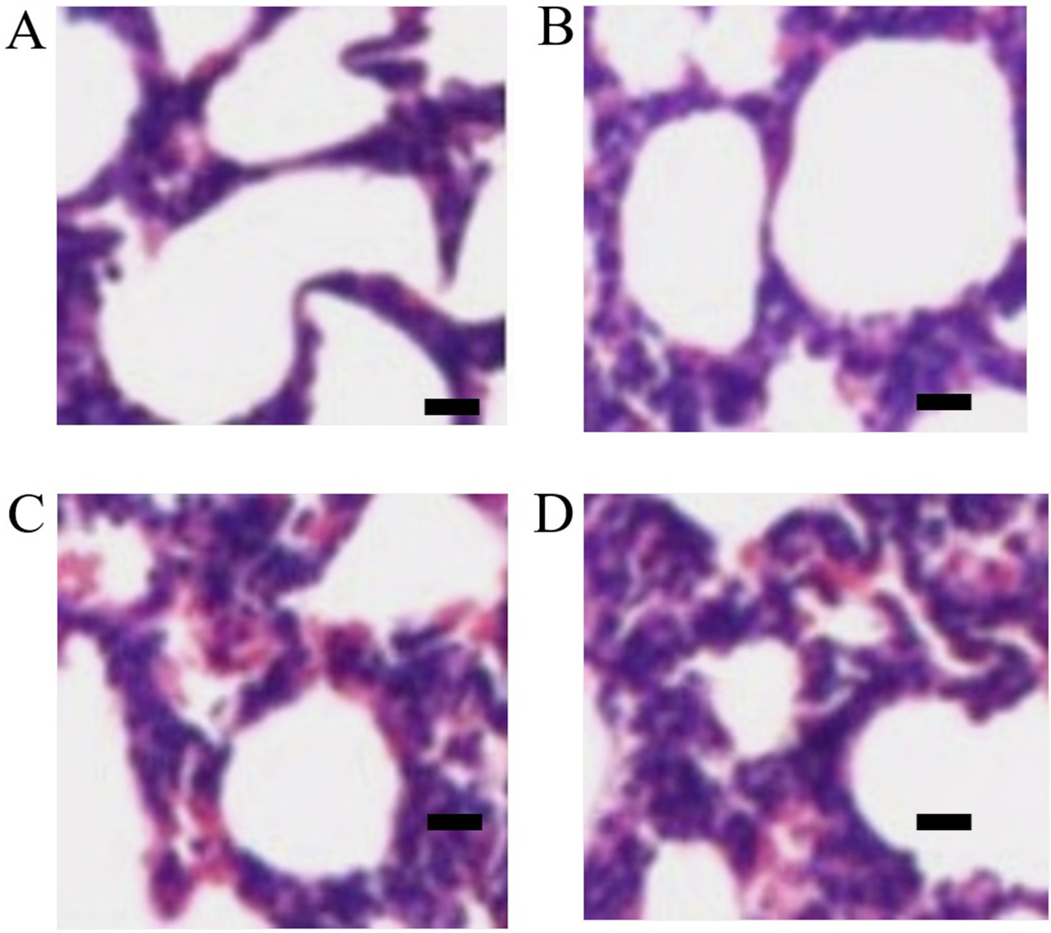
Lung tissue histological examinations
The pathological changes in the lung tissue were detected using hematoxylin and eosin (H&E) staining. Figure 7, Figure 8, Figure 9, Figure 10 show that lung injury induced by LPS was reduced in all experimental groups (the 0.1 mg group, the 0.2 mg group and the 0.3 mg group). As the infiltration of neutrophils increased, thickening of interstitial alveolar regions increased, and structural damage was reduced compared to the results of the control group.
Discussion
Bacterial infection plays a significant role in clinical infections, and endotoxin is its main toxic substance. Lipopolysaccharide can cause ALI. In this experiment, PaO2 decreased significantly after the intravenous injection of LPS. Symptoms such as interstitial pneumonitis, alveolar edema, exudation, bleeding, and granulocyte infiltration were observed in the lung pathology specimens, suggesting that LPS injection led to ALI. After PBL intervention, LPS injury was significantly alleviated, arterial oxygen partial pressures increased, and the wet/dry ratio of lung tissue decreased in the ALI rats. Pathological observation also indicated a reduced pathological reaction and inflammatory injury in lung tissue, which is consistent with previous results of PBLs in ALI.23, 24, 25, 26, 27
Studies have shown that TNF-α mainly comes from monocytes and macrophages stimulated by LPS.20, 21, 23, 24 In the process of ALI resulting from various factors, TNF-α functions mainly through the following approaches. First, it induces the production and release of proinflammatory cytokines, such as IL-6 and IL-8 that cause body damage. At the same time, inflammatory signals are further amplified and strengthened by reactivating inflammatory effector cells and releasing more inflammatory factors. Second, it causes direct injury to pulmonary vascular endothelial cells (VECs) and alveolar type II epithelium. Third, it interacts with other cytokines to cause lung injury. Finally, it activates the complement and coagulation systems and promotes the spread of inflammation in lung tissue. The results of this study showed that TNF-α levels in the lung tissue of rats after LPS injection, as well as miRNA-25 and miRNA-223 expressions in a lung homogenate increased significantly. Tumor necrosis factor alpha was mainly expressed in alveolar macrophages. One hour after LPS injury, the positive signal was the strongest. The peak of TNF-α in lung homogenate appeared 1–2 h after injury, which was consistent with the literature reporting a peak time of around 90 min. These results show that the expression of TNF-α precedes protein synthesis, and an intravenous injection of LPS directly produces endotoxemia. Lipopolysaccharide directly stimulates inflammatory effector cells in lung tissue to produce TNF-α. The serum levels of TNF-α in lung homogenate were similar to the dynamic change in TNF-α levels from the same stimulus. Previous studies have indicated that miRNA-25 and miRNA-223 may enhance the inflammatory response by stimulating the release of inflammatory mediators via targeting several negative feedback molecules.15, 16, 17, 18, 19, 20 These results and the results obtained in our study suggest that miRNA-25 and miRNA-223 increase the inflammatory response in LPS-induced ALI.
Some studies have found that IL-2 is mainly mediated by monocytes, macrophages and VECs, which are affected by LPS and other cytokines.24, 25, 26 The main target cells of IL-2 are polymorphonuclear neutrophils (PMNs), which participate in the occurrence and development of ALI by affecting the biological activity of granulocytes. Interleukin 2 induces PMN chemotaxis in interstitial and inflammatory areas, and simultaneously activates PMNs in order to promote its degranulation and production of oxygen-free radical, protease and other media that directly damage lung tissue cells. Moreover, IL-2 increases the penetration of PMNs into the endothelial cell layer and the permeability of the vascular endothelial layer, promoting PMN transmembrane movement. The results obtained in this study confirm that the expression of IL-2 and the level of IL-2 in the homogenate increased significantly after LPS injection. Interleukin 2 was mainly expressed in alveolar macrophages, PMNs and VECs. A positive signal was first observed 2 h after LPS injury, and the strongest signal was recorded 4 h after LPS injury. At the same time, the levels of IL-2 in lung homogenate reached their maximum. The expression of IL-2 preceded its protein expression, which is in accordance with the time sequence of IL-2 expression and transcription. Furthermore, the time of peak TNF-α expression and protein levels was earlier than that of IL-2, suggesting that TNF-α may further stimulate the expression and release of IL-2 by effector cells.
Peripheral blood leukocytes have an antagonistic effect on M receptors. They are widely used in anti-shock and smooth muscle spasmolysis by improving microcirculation. Additional studies have demonstrated that PBLs can antagonize calcium influx and antioxidation, inhibit cell calcium overload and lipid peroxidation in biofilms, and protect tissue cells. Peripheral blood leukocytes can also inhibit the production of shock factors (or inflammatory mediators), such as prostaglandins and leukotrienes. Therefore, PBLs are used to prevent shock and in the prevention and treatment of MODS caused by various reasons, including ALI. The application of PBLs has achieved good therapeutic effects. Since TNF-α, IL-2 and other inflammatory cytokines play an important role in the induction of ALI, this study investigated the mechanisms behind PBLs in the prevention and treatment of ALI by affecting the above inherent functions and factors.
Limitations
The study and conclusions might be limited by the number of selected rats.
Conclusions
In this study, PBLs were found to significantly inhibit TNF-α in ALI tissues induced by LPS. The expression of miRNA-25 and miRNA-223 levels decreased in lung homogenate. The study showed that PBLs inhibit TNF-α and IL-2 expression to achieve an anti-inflammatory effect, thereby reducing the inflammatory response and inflammatory injury in lung tissue.
Supplementary materials
The Supplementary tables are available at https://doi.org/10.5281/zenodo.6992162. The package contains the following files:
Supplementary Table 1. The miR-25 expression values of lung tissue in each group at each time point and the results of normal distribution tests.
Supplementary Table 2. ANOVA of miR-25 expression values in lung tissue at each time point and post hoc analysis for pairwise comparisons.
Supplementary Table 3. ANOVA of miR-25 expression values of lung tissue in each group and post hoc analysis for pairwise comparisons.
Supplementary Table 4. The miR-25 expression values in BALF in each group at each time point and the results of normal distribution tests.
Supplementary Table 5. ANOVA of miR-25 expression values in BALF at each time point and post hoc analysis for pairwise comparisons.
Supplementary Table 6. ANOVA of miR-25 expression values in BALF in each group and post hoc analysis for pairwise comparisons.
Supplementary Table 7. The miR-223 expression values of lung tissue in each group at each time point and the results of normal distribution tests.
Supplementary Table 8. ANOVA of miR-223 expression values in lung tissue at each time point and post hoc analysis for pairwise comparisons.
Supplementary Table 9. ANOVA of miR-223 expression values of lung tissue in each group and post hoc analysis for pairwise comparisons.
Supplementary Table 10. The miR-223 expression values in BALF in each group at each time point and the results of normal distribution tests.
Supplementary Table 11. ANOVA of miR-223 expression values in BALF at each time point and post hoc analysis for pairwise comparisons.
Supplementary Table 12. ANOVA of miR-223 expression values in BALF in each group and post hoc analysis for pairwise comparisons.
Supplementary Table 13. The TNF-α expression values in BALF at 48 h and the results of normal distribution tests.
Supplementary Table 14. ANOVA of TNF-α expression values in BALF at 48 h and post hoc analysis for pairwise comparisons.
Supplementary Table 15. The IL-2 expression values in BALF at 48 h and the results of normal distribution tests.
Supplementary Table 16. ANOVA of IL-2 expression values in BALF at 48 h and post hoc analysis for pairwise comparisons.












