Abstract
Background. Promising studies have been conducted with many substances to reduce the ototoxic effects of cisplatin, but there is no treatment that completely eliminates the ototoxic effect.
Objectives. To determine the effectiveness of astaxanthin (ASX) as a protective agent against cisplatin-induced ototoxicity.
Materials and methods. Thirty-six rats were randomly divided into 6 groups. Group 1 received no drug injections except for anesthetics; group 2 received intraperitoneal (IP) olive oil only for 8 days; group 3 received only IP ASX 75 mg/kg dissolved in olive oil for 8 days; group 4 received a single dose of only IP 16 mg/kg cisplatin on the 5th day; group 5 received 25 mg/kg ASX IP daily for 8 days and a single 16 mg/kg dose of cisplatin on the 5th day; group 6 received 75 mg/kg ASX IP daily for 8 days and a single 16 mg/kg dose of cisplatin on the 5th day. The animals were tested for distortion product otoacoustic emissions (DPOAE) before and 3 days after cisplatin treatment. The animals in all groups were sacrificed under anesthesia on the 10th day. Before sacrifice, inferior vena cava blood samples were drawn into commercial tubes for biochemical analysis and their cochlea were prepared for histological analysis.
Results. The ASX+cisplatin groups demonstrated significantly higher DPOAE thresholds when compared to the cisplatin-only group (p < 0.05). The ASX 25 mg/kg/day+cisplatin group showed a significant increase in total antioxidant capacity compared to the cisplatin-only group, whereas the ASX 75 mg/kg/day+cisplatin group had significantly lower total oxidative stress and oxidative stress index. Histologic results showed that the cortical organ was better preserved in the ASX+cisplatin groups compared to the cisplatin-only group, and the degeneration in the spiral ganglion and inner and outer hair cells was less visible in the ASX groups.
Conclusions. Astaxanthin can protect hearing from cisplatin-induced ototoxicity, prevent cellular degeneration and significantly reduce oxidative stress.
Key words: cisplatin, astaxanthin, ototoxicity
Background
Cisplatin is an antineoplastic drug commonly used to treat various neoplasms, especially those in the head and neck. However, it has several side effects, including nephrotoxicity, marrow suppression, gastrointestinal disorders, and ototoxicity, which is observed in up to 36% of patients due to cisplatin use. Ototoxicity may occur within hours to days after treatment.1, 2, 3, 4 Hearing loss appears to be dose-related, cumulative, bilateral and usually permanent, and occurs at a higher frequency initially. Cisplatin has been assumed to have a destructive effect, particularly by increasing free oxygen radicals on the outer hair cells in the cochlea.5, 6 Its main cytotoxic effect is believed to be caused by its monohydrate complex reacting with nuclear DNA. Due to the close relationship between cytotoxicity and free oxygen radicals, antioxidants have been used for the prevention of ototoxicity.7, 8
Astaxanthin (ASX) is a natural red carotenoid pigment mainly found in certain marine organisms such as microalgae, fish and shrimps.9 It is a powerful extinguisher of reactive nitrogen and oxygen species (ROS), particularly monovalent oxygen.10 Humans cannot produce carotenoids and must obtain them through diet. Many studies have demonstrated the strong antioxidant,11, 12, 13 anti-apoptotic,14, 15 anti-inflammatory,16 and anticancer17 activities of ASX. Moreover, ASX offers a high degree of safety.18
Objectives
Although studies have explored many substances to reduce ototoxic effects of cisplatin with promising results,1, 2, 3, 4 there is no treatment that completely eliminates them. The purpose of this study was to investigate the potential protective effect of ASX against cisplatin ototoxicity.
Materials and methods
This study was approved by the Experimental Animals Ethics Committee of Recep Tayyip Erdogan University, Rize, Turkey (decision No. 2014/65). The rats used for the study were obtained from the Basic Medical Sciences Experimental Animals Application Unit of our university, and the entire study was conducted in our laboratory. The study was performed in accordance with the 2011 Guide for the Care and Use of Laboratory Animals.
Study protocol
For the purposes of this study, 36 male Wistar albino rats aged 3–3.5 months and weighing approx. 250–280 g were used. Their hearing was verified using a distortion product otoacoustic emissions (DPOAE) test. They were then randomly divided into 6 groups with 6 animals in each group. The groups and administered treatments are shown in Table 1.
All invasive procedures were performed under anesthesia. To induce anesthesia, 50 mg/kg ketamine hydrochloride (Ketalar; Eczacıbaşı, Istanbul, Turkey) and 10 mg/kg xylazine hydrochloride (Alfazyne; Alfasan International B.V., Woerden, the Netherlands) were administered intraperitoneally (ip.). The rats were kept in 12-hour light/dark cycles at a temperature of 22 ±3°C and 55–60% humidity.
The doses and administration routes of ASX and cisplatin were selected based on previously published data.1, 2, 3, 4, 11, 12 On the 10th day, inferior vena cava blood samples were collected from the rats under anesthesia for biochemical analysis, and all the animals were sacrificed. Their cochleae were removed and dissected for histopathological and biochemical analyses.
Preparation of chemicals
Cisplatin (Cisplatinum Ebewe, 1 mg/mL) was obtained from Liba laboratories (Istanbul, Turkey), and 98% pure ASX (Chemical Abstracts Service No. 472-61-7) was purchased from Sigma-Aldrich (St. Louis, USA). Astaxanthin was dissolved in olive oil to produce a concentration of 50 mg/mL prior to administration.
DPOAE testing
The DPOAE test was performed using an Otodynamics Echoport USB cochlear emissions analyzer and Otodynamics ILO software v. 6.0 (Otodynamics, London, UK) in a quiet room. An infant hearing screening probe was attached to the external auditory canal. The stimulus consisted of 2 pure tones (f1 and f2; f1/f2 ratio = 1.22) at a sound pressure level (SPL) of 70 dB. The results were expressed as the geometric mean of the 2 primary tones. The DPOAEs were measured at the 2f1–f2 frequency, with the microphone on the outer ear canal. The resulting otoacoustic emissions were evaluated at 2 kHz, 3 kHz, 4 kHz, 6 kHz, and 8 kHz. The DPOAE test was considered positive for signal-to-noise ratios (SNR) of 6 dB SPL. The rats in all groups were subjected to DPOAE before the start of the experiment, and the baseline SNR values at each frequency were calculated. The DPOAE test was repeated on the 8th day of the study, and the SNR values were calculated again for comparison.
Biochemical analysis
After centrifuging the collected inferior vena cava blood samples at 3500 rpm for 5 min, the total antioxidant status (TAS) and total oxidative stress (TOS) levels were measured using an autoanalyzer (Abbott C16000; Abbott Diagnostics, Abbott Park, USA) using TAS and TOS assay kits (Rel Assay Diagnostics, Gaziantep, Turkey) in the biochemistry laboratory of our institution. The measurements were expressed as micromole (µmol) Trolox equivalent per litre.19, 20 The oxidative stress index (OSI) was calculated using the following formula:
OSI = TOS (µmol H2O2 equivalent/L)/
TAS (µmol Trolox equivalent/L)
Histopathological examination
The rats’ temporal bones were dissected, and their auditory bullae were opened. The lateral wall of the cochlea was removed, 2.5% glutaraldehyde solution was slowly injected and fixation was performed. The temporal bones were kept in the same solution at 4°C overnight. After fixation, the temporal bones were kept in 10% EDTA solution for decalcification at 4°C for 10 days. The cochlea specimens were dehydrated with ethanol, embedded in paraffin blocks, prepared in 5-μm sections, and stained with hematoxylin and eosin (H&E). At least 15 sections were evaluated for each rat cochlea. Histological examination was performed under a light microscope. Five microscopic areas were randomly selected from each section. Images were obtained from the basal turn of the cochlea. Signs of degeneration, such as dilation, cell apoptosis, cell degeneration, nerve degeneration, and cytoplasmic vacuolization, were scored separately by a histopathologist blinded to the groups, on a scale of 0–4, where 0 meant normal, 1 mild, 2 moderate, 3 moderate-advanced, and 4 severe.
Statistical analysis
The data were processed using SPSS v. 15.0 for Windows (SPSS Inc., Chicago, USA). The biochemical data were calculated as the mean ± standard deviation (SD) based on the minimum and maximum values. Intergroup comparisons were made using one-way analysis of variance (ANOVA) and the Bonferroni post hoc test. The histopathological data were calculated as the median and 25–75% interquartile range (IQR) values. The Kruskal–Wallis and Tamhane T2 test was used in the comparison of histopathological data. Differences were considered significant at a value of p < 0.05 in all analyses.
Results
DPOAE results
The obtained SNR values were compared within and between groups. There was no significant difference in DPOAE values between the groups before the start of the experiment (p > 0.05). On the 8th day of the experiment, the SNR values in the cisplatin-only group were significantly decreased at all frequencies compared to baseline (p < 0.01). In addition, they were lower than those in the other groups at all frequencies (p < 0.017 for 2 kHz, 3 kHz and 4 kHz, p < 0.001 for 6 kHz and 8 kHz).
In the 2 ASX+cisplatin groups, there was no significant difference in SNR values on the 8th day of the experiment compared to baseline (p > 0.05). The ASX-only group also showed no significant difference in terms of hearing (p > 0.05).
Biochemical analysis results
The TAS, TOS and OSI values are summarized in Table 2. The TAS values in the 25 mg/kg ASX+cisplatin group were higher than those in the cisplatin-only group (p = 0.036). The TOS and OSI values in the 75 mg/kg ASX+cisplatin group were significantly lower than those in the cisplatin-only group (p = 0.026, p = 0.01, respectively).
Histopathological results
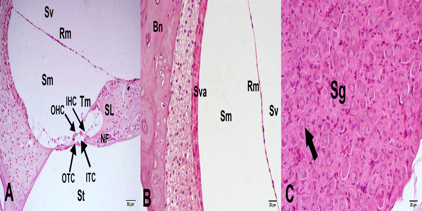
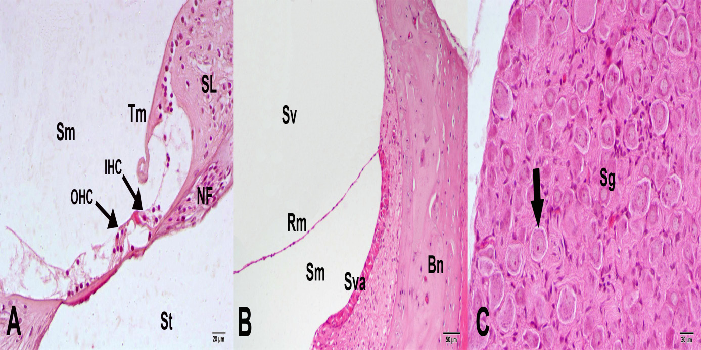
The histological morphology and cell structure in the control group was normal (Figure 1). In the ASX and olive oil group, the histological structure of the cochlear tissue was normal. Astaxanthin and olive oil administration did not induce any pathological changes compared with the morphology and cell structure of the control group (Figure 2, Figure 3).
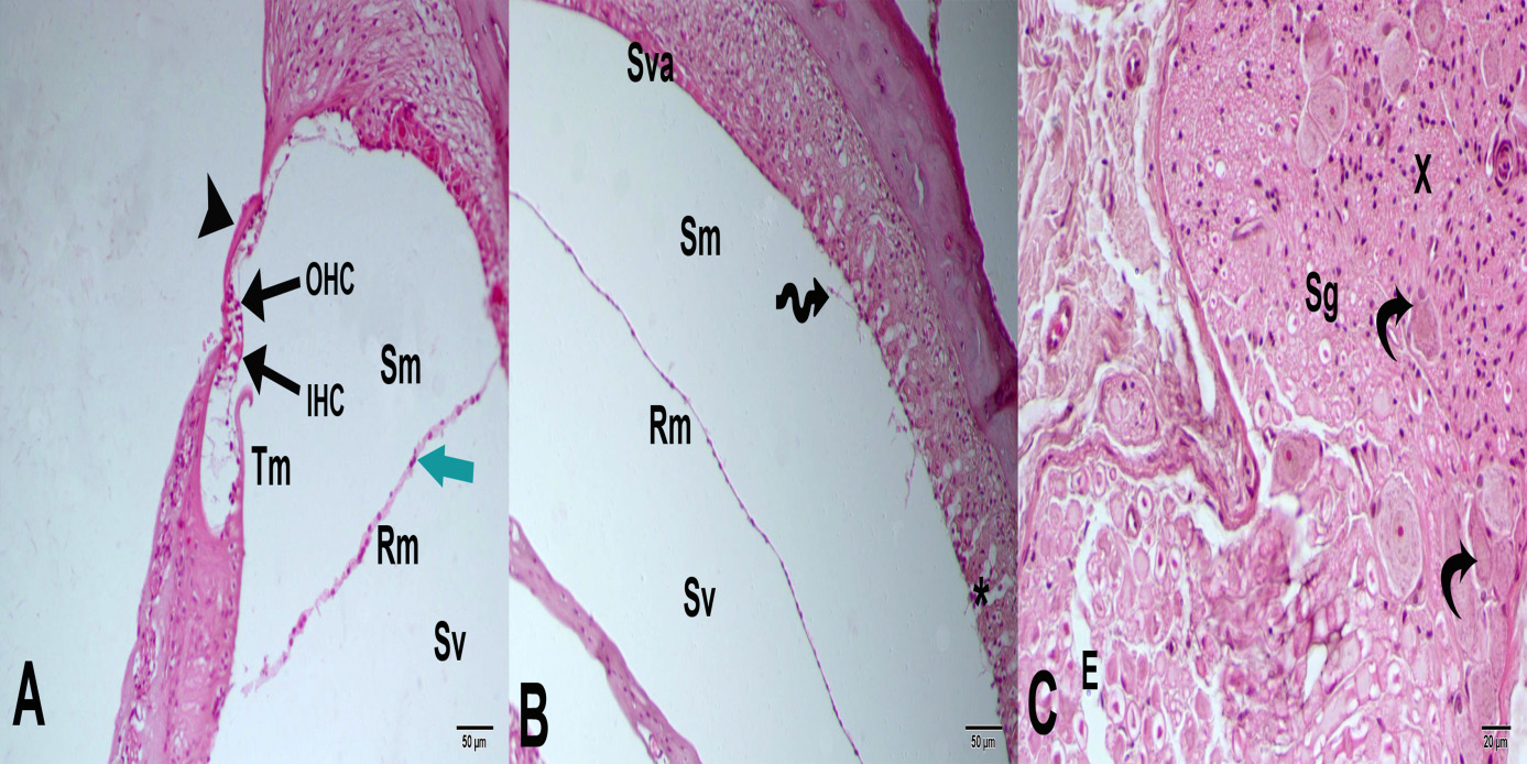
Samples from the cisplatin-only group exhibited an edematous area, formed due to the loss of bipolar neurons of cochlear ganglion cells. Thickening of the acellular basilar and Reissner’s membranes was observed. In the organ of Corti, degeneration of the extensions of the inner and outer hair cells and cell bodies was observed. Moreover, focal denudation of the superficial epithelium with strial edema was detected (Figure 4).
In the 25 mg/kg ASX+cisplatin group, although the integrity of the organ of Corti had been protected, the extensions of the inner and outer hair cells and cell bodies had degenerated. However, although edema was observed in the stria vascularis area, its intensity was lower than in the cisplatin-only group. Spiral neurons showed a normal ganglion cell structure (Figure 5).
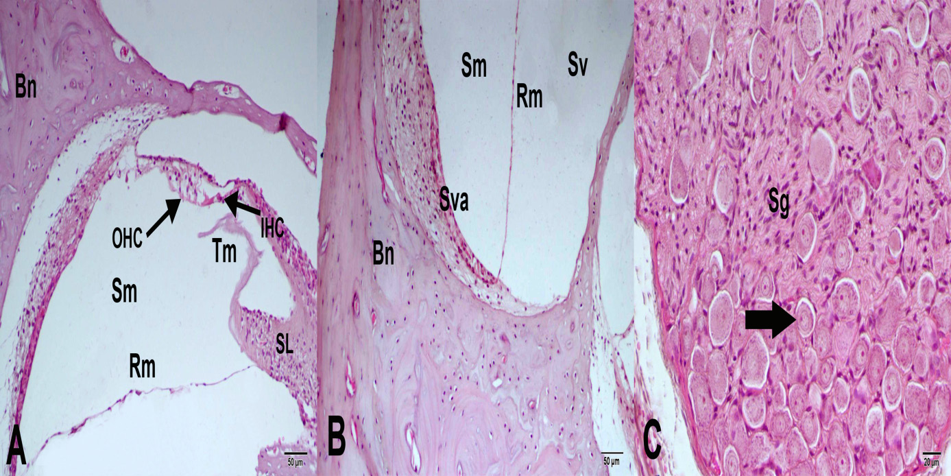
In the 75 mg/kg ASX+cisplatin group, the general histological structure had a normal appearance. However, although the integrity of the organ of Corti had been protected, degeneration was observed in the extensions of the inner and outer hair cells and cell bodies, and significant cell spillage was detected. In the organ of Corti, both Reissner’s and the tectorial membrane exhibited normal morphology. The stria vascularis and spiral ligament-forming cells were normal in terms of arrangement and nucleus appearance. Spiral ganglion connective tissue cells and pseudounipolar neurons presented a normal ganglion cell structure (Figure 6).
The median values of the histopathological blind grading of strial edema, inner and outer cell degeneration in the organ of Corti, and degenerative bipolar neuron density in the groups are summarized in Table 3. No significant difference was observed between the control, olive oil and ASX-only groups in terms of degeneration findings (p > 0.05). The ASX 25 mg/kg+cisplatin group (p = 0.000, p = 0.000, p = 0.000, for strial edema, inner and outer cell degeneration in the organ of Corti, and degenerative bipolar neuron, respectively) and ASX 75 mg/kg+cisplatin group (p = 0.000, p = 0.001, p = 0.000, for strial edema, inner and outer cell degeneration in the organ of Corti, and degenerative bipolar neuron, respectively) had significantly lower strial edema, inner and outer cell degeneration in the organ of Corti, and degenerative bipolar neuron density values than the cisplatin-only group. Moreover, there was no significant difference between the 2 ASX+cisplatin groups in terms of strial edema, degeneration in the organ of Corti and degenerative bipolar neuron density.
Discussion
The prevention of side effects caused by cisplatin is very important for its safe use as an antineoplastic. Although many substances have been trialed to that end, none have been routinely applied in clinical practice.1, 2, 3, 4 This study evaluated the potential protective effect of ASX on cisplatin-induced ototoxicity. The histopathological findings and hearing test results show that ASX reduces cochlear damage caused by cisplatin. Moreover, the biochemical data show that ASX has antioxidant effects against oxidative stress in the blood, indirectly mitigating cisplatin-induced damages.
In cisplatin-induced ototoxicity, hearing loss is generally reported 3 days after the first cisplatin dose and is usually bilateral. Various cisplatin doses and routes of administration to produce ototoxicity have been examined in previous studies.3, 4, 6 A single dose of 16 mg/kg is generally preferred. Accordingly, we administered cisplatin in a single dose of 16 mg/kg intraperitoneally on the 5th day of the experiment, which induced bilateral ototoxicity on the 8th day. This practice did not cause any deaths.
Several pharmacological agents, such as thymoquinone, curcumin, α-tocopherol, lycopene, α-lipoic acid, and erdosteine, have been used to prevent ototoxic effects of cisplatin.1, 2, 3, 4 Unfortunately, no agent has been widely accepted for use in clinical practice to date. Therefore, the search for an alternative effective protective treatment continues. Astaxanthin is a carotenoid pigment obtained from the microalga Hematococcus pluvialis and other biological sources.9 As several studies have demonstrated its strong antioxidant, anti-inflammatory, anticancer, and anti-apoptotic activities,10, 11, 12, 13, 14, 15, 16 we decided to investigate its potential protective effect on cisplatin-induced ototoxicity. Its safety and tolerability, even at high doses, have been well established in both animal and clinical studies.9, 10, 11, 12, 13, 14, 15, 16, 17 In our study, we observed no side effects of ASX in doses of 25 mg/kg and 75 mg/kg.
The mechanism of cisplatin-induced cochlear damage is thought to result from increased amounts of toxic free radicals or cell membrane changes, which cause a decrease in intracellular calcium content.5, 6 Cisplatin ototoxicity is also believed to be related to a malfunction of the antioxidant system. Impaired antioxidant enzyme activity in the cochlea may result in an increase in reactive oxygen species (ROS), which induce lipid peroxidation, leading to apoptosis of hair cells, support cells, auditory nerves, and the stria vascularis.21, 22 The antioxidant activity of ASX is known to be 10 times more potent than that of zeaxanthin, lutein and other carotenoids, and 100 times more potent than that of α-tocopherol.23
Yeh et al.14 reported that ASX reduced retinal oxidative stress in streptozocin-induced diabetic rats. Mosaad et al.15 found that ASX protects the kidneys from gentamicin-induced nephrotoxicity. Mizuta et al.16 demonstrated that it is a potent therapeutic agent for vocal cord scarring through oxidative stress regulation. Wolf et al.13 showed that it reduces the production of reactive oxygen radicals by mitochondria and mitigates the loss of mitochondrial function under oxidative stress, concluding that it is a potential therapeutic agent for various diseases involving oxidative stress. We evaluated the antioxidant effect of ASX with TAS, TOS and OSI measurements. Our results show that a high dose of ASX is more effective in reducing oxidative stress caused by cisplatin, but even a lower dose is sufficient to reduce oxidative stress by increasing tissue antioxidant capacity.
The DPOAE tests are an objective and highly selective tool for evaluation of cochlea function. Authors of many studies on cisplatin-induced ototoxicity have used them to evaluate hearing.1, 2, 3, 4 Similarly, we used DPOAE to assess hearing in rats. In the cisplatin-only group, the DPOAE values at all frequencies were significantly decreased on the 8th day of the experiment compared to baseline, while they were preserved in both ASX+cisplatin groups. Astaxanthin significantly mitigated cisplatin-induced hearing damage, while it had no effect in the control group.
Our histopathological data show that strial edema, inner and outer cell degeneration in the organ of Corti, and degenerative bipolar neuron density in both ASX+cisplatin groups were significantly lower than in the cisplatin-only group. The ASX dose of 75 mg/kg did not cause any pathological changes in tissue morphology and cell structure compared with the control group. These results show that ASX has protective effects against cisplatin-induced ototoxicity and has no ototoxic effects itself. We believe that its protective role is due not only to its antioxidant activity, but also to its anti-inflammatory effect on cisplatin-induced ototoxicity.
Limitations
Certain limitations of this study should be mentioned. Firstly, we could not perform DPOAE measurements at frequencies higher than 8 kHz. Another important limitation is that we only applied H&E staining to the cochlea sections. We did not perform immunohistochemistry staining to demonstrate apoptosis in the cochleae. Finally, the small size of our animal sample constitutes another limitation.
Conclusions
Astaxanthin has protective biochemical, audiological and histopathological effects against cisplatin-induced ototoxicity in both low and high doses. We believe that it may reduce drug side effects in patients undergoing chemotherapy, especially those receiving cisplatin. However, further studies are needed to investigate the effects of ASX on different species, in different doses, and with different routes of administration and treatment durations.








