Advances in Clinical and Experimental Medicine

Title abbreviation: Adv Clin Exp Med
5-Year IF – 2.0, IF – 1.9, JCI (2024) – 0.43
Scopus CiteScore – 4.3
Q1 in SJR 2024, SJR score – 0.598, H-index: 49 (SJR)
ICV – 161.00; MNiSW – 70 pts
Initial editorial assessment and first decision within 24 h

ISSN 1899–5276 (print), ISSN 2451-2680 (online)
Periodicity – monthly

Download original text (EN)

Advances in Clinical and Experimental Medicine

Ahead of print

doi: 10.17219/acem/153004

Publication type: research letter

Language: English

License: Creative Commons Attribution 3.0 Unported (CC BY 3.0)

Download citation:

  • BIBTEX (JabRef, Mendeley)
  • RIS (Papers, Reference Manager, RefWorks, Zotero)

Cite as:


Malinowski K, Skowronek P, Hirschmann M, et al. Transient spontaneous osteonecrosis of the knee (SONK) shortly after SARS-CoV-2 infection: A report of 2 cases [published online as ahead of print on September 22, 2022]. Adv Clin Exp Med. 2022. doi:10.17219/acem/153004

Transient spontaneous osteonecrosis of the knee (SONK) shortly after SARS-CoV-2 infection: A report of 2 cases

Konrad Malinowski1,2,A,B,C,D,F, Paweł Skowronek3,A,B,C,E,F, Michael Hirschmann4,A,B,C,E,F, Dong Woon Kim2,A,D,E,F, Brandon Michael Henry5,A,B,C,E,F, Michał Ebisz1,A,D,E,F, Marcin Mostowy6,A,D,E,F, Przemysław A. Pękala2,7,A,B,C,D,E,F

1 Artromedical Orthopaedic Clinic, Bełchatów, Poland

2 International Evidence-Based Anatomy Working Group, Department of Anatomy, Jagiellonian University Medical College, Kraków, Poland

3 Department of Orthopaedic and Trauma Surgery, S. Żeromski Hospital, Kraków, Poland

4 Department of Orthopaedic Surgery and Traumatology, Kantonsspital Baselland (Bruderholz, Liestal, Laufen), University of Basel, Switzerland

5 Clinical Laboratory, Division of Nephrology and Hypertension, Cincinnati Children’s Hospital Medical Center, USA

6 Orthopedic and Trauma Department, Veteran’s Memorial Teaching Hospital in Lodz, Medical University of Lodz, Poland

7 Faculty of Medicine and Health Sciences, Andrzej Frycz Modrzewski Kraków University, Poland

Abstract

Background. This article describes 2 cases of post-coronavirus disease 2019 (COVID-19) transient spontaneous osteonecrosis of the knee (PCT-SONK) observed in patients who had previously recovered from COVID-19 without corticosteroid administration.

Objectives. The possible pathomechanisms by which a recent SARS-CoV-2 infection may contribute as a causative factor for osteonecrosis are reviewed, and the differential diagnosis and treatment are discussed.

Materials and methods. Two patients (males, 45- and 47-year-old) presented with sudden onset knee pain with no trauma history. The pain persisted during rest and at night. On magnetic resonance imaging (MRI), no subchondral bone thickening was observed; bone edema was diffusely distributed in the whole femoral condyle, in contrast to the more focal edema that is typically concentrated mainly around the subchondral region in classic SONK. Both patients were treated nonoperatively with no weight bearing and pharmacological agents, and complete resolution of symptoms was achieved.

Results. A follow-up MRI 10 weeks after presentation revealed a near-complete loss of signal in the medial femoral condyle in both patients.

Conclusions. Orthopedic surgeons should be cautious when sudden knee pain without concurrent trauma or a history of injury occurs shortly after severe acute respiratory syndrome coronavirus 2 (SARS-CoV-2) infection, even with mild COVID-19 illness. While some studies report the development of post-COVID-19 osteonecrosis after lower doses of corticosteroids and sooner after their administration than in comparable non-COVID-19 cases, our study is the first to report 2 cases with no corticosteroid administration at all. Therefore, the authors believe it adds to the body of knowledge on the potential connections between COVID-19 and PCT-SONK. The transient nature of symptoms and radiological findings suggest that aggressive surgical treatment of non-injury local bone edema occurring shortly after SARS-CoV-2 infection should be avoided.

Key words: knee pain, SARS-CoV-2, avascular necrosis, SONK, COVID-19 complications

 

Background

Severe acute respiratory syndrome coronavirus 2 (SARS-CoV-2) is a positive-sense, single-stranded RNA virus that was first identified in late December 2019 in Wuhan, China.1 The disease caused by SARS-CoV-2 infection is referred to as coronavirus disease 2019 (COVID-19). The World Health Organization (WHO) officially declared COVID-19 a pandemic in March 2020.2 By August 2022, the estimated death toll from COVID-19 had risen to 6,446,714.1 Its typical clinical manifestations include fever, cough and shortness of breath, which can progress to pneumonia. This can further deteriorate into a dysregulated immune state characterized by a hyperinflammatory response and a hypercoagulable state, leading to pulmonary and systemic micro- and macro-immunothrombosis, which ultimately may cause multiple organ failure and death.3

Involvement of nearly every organ system has been observed not only during the acute stages of COVID-19 but also after recovery. Recent reports describe post-COVID-19 clinical problems that can extend to affect the knee joint and its function.4 There are also studies reporting secondary osteonecrosis of the knee after COVID-19 treatment with corticosteroids, but with less than the cumulative dose of corticosteroids reported in the literature for osteonecrosis of the knee.5, 6 Similar studies have been published concerning avascular necrosis of the femoral head occurring with lower doses of corticosteroids and sooner after their administration than in comparable non-COVID-19 cases.7 Karaarslan et al. recently performed a prospective study on a group of patients discharged after COVID-19 infection and concluded that “92.3%, 72.7% and 56.3% of patients reported any musculoskeletal symptom at hospitalization, 2-week and 1-month, respectively”.8

Spontaneous osteonecrosis of the knee (SONK) is the most common form of osteonecrosis of the knee joint, but its etiology remains unclear. However, it is believed that SONK might be caused by local blood flow alteration, which leads to subsequent bone ischemia, ultimately resulting in local fluid storage and bone edema that can be visualized on magnetic resonance imaging (MRI).9 Typically, the subchondral lesion due to SONK is observed unilaterally at the medial femoral condyle (MFC) of the knee (94%). The prevalence of SONK is higher in females, especially those over the age of 55, and typically presents as sudden knee pain without causative trauma or injury.10

The COVID-19 has been clearly associated with a hypercoagulable state, referred to as COVID-19-associated coagulopathy (CAC),11 with evidence strongly suggestive of a secondary microangiopathy phenomenon propagating multiple organ failure.12 Laboratory hallmarks of CAC, such as decreased platelets and elevated D-dimer, have been shown to persist for several months after recovery, even in mild cases of COVID-19.13 Therefore, it is possible that SARS-CoV-2 contributes to the development of local blood flow changes and ultimately to post-COVID-19 transient spontaneous osteonecrosis of the knee (PCT-SONK).

This report aims to describe 2 cases of sudden knee pain with radiological features similar to those of SONK that were observed in patients shortly after recovering from COVID-19, and to discuss the possible pathogenesis of this emerging problem for orthopedic surgeons.

Case 1 (K.D.)

A 45-year-old male patient (software engineer, sedentary work) presented with sudden onset right knee pain with no history of trauma. The pain persisted during rest and at night.

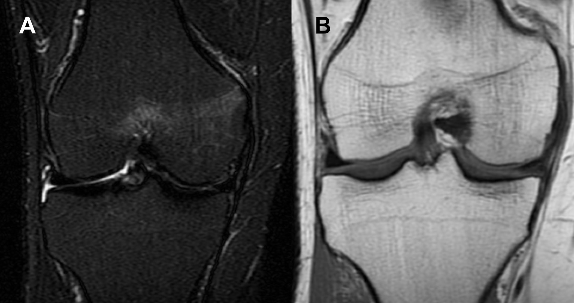
On clinical examination, the patient had a full range of motion and a stable knee joint. The patient experienced pain during extension and near-full extension. Palpation of the MFC and medial joint space revealed local tenderness. Additionally, the patient experienced pain when varus stress was applied to the knee in 10° knee flexion. An MRI of the patient’s right knee was performed immediately following the orthopedic appointment (7 weeks after the onset of knee symptoms). Magnetic resonance imaging in short tau inversion recovery (STIR) sequence revealed a large area of diffuse increased signal in the MFC and the medial aspect of the intercondylar region (Figure 1).

Approximately 3 months prior to the onset of knee symptoms, the patient had been diagnosed with COVID-19, which was confirmed by a positive result of a SARS-CoV-2 RT-PCR test. The patient had begun to experience symptoms of acute respiratory infection 5 days prior to diagnosis, which had progressed to severe flu-like symptoms with dyspnea for approximately next 2 weeks. The patient was not hospitalized despite the severity of the respiratory symptoms, and no corticosteroids were administered.

The patient was put on crutches and instructed to bear no weight on the affected leg. Additionally, the patient was prescribed ossein-hydroxyapatite complex (2490 mg/day), calcium (1000 mg/day), vitamin D₃ (150 µg/day), vitamin K₂ (50 µg/day), pentoxifylline (400 mg/day), vitamin C (2,000 mg/day), and acetylsalicylic acid (75 mg/day).

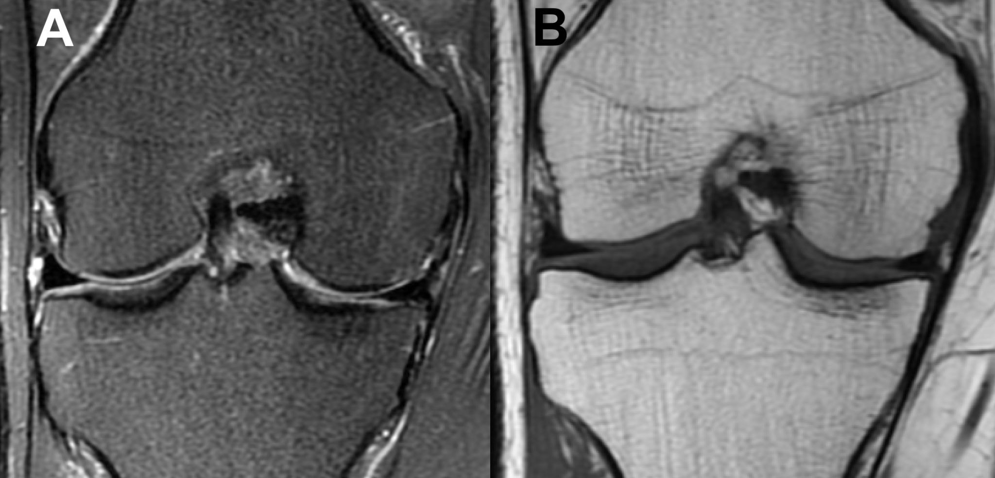
The symptoms subsided completely after approx. 8 weeks of nonoperative treatment. A follow-up MRI scan of the same knee was performed 10 weeks after the first appointment, and showed remission of the radiological findings in the MFC and medial aspect of the intercondylar region (Figure 2). The next follow-up MRI, which was performed 5 months after the first appointment, showed complete resolution of the bony and soft tissue edema (Figure 3). There were no adverse or unanticipated events.

Case 2 (K.M.)

A 47-year-old male hotel owner presented with sudden onset of right knee pain without trauma. The pain persisted during rest and at night.

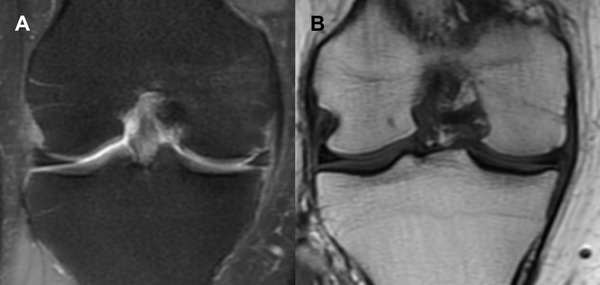
On clinical examination, the patient had a full range of motion, with a stable joint, with pain during extension and near full extension. In addition, the patient experienced pain upon palpation of the MFC and joint spaces of the affected knee. Varus stress test applied to the knee with the leg in 10° flexion also elicited pain. The knee axis was recorded as less than 5° of varus. Magnetic resonance imaging of the knee 4 weeks after the onset of symptoms revealed diffuse high signal in the entire MFC, suggesting an accumulation of edema in the bone marrow (Figure 4).

Approximately 10 weeks before presentation, the patient had tested positive for SARS-CoV-2 with real-time polymerase chain reaction (RT-PCR) test. He had experienced severe flu-like symptoms, with fever as high as 39.5°C, and pneumonia that lasted 10 days. He was not hospitalized, and corticosteroids were not administered.

The patient was put on crutches and instructed to bear no weight on the affected leg for 6 weeks. Additionally, he was prescribed the same pharmacotherapy as the patient in Case 1.

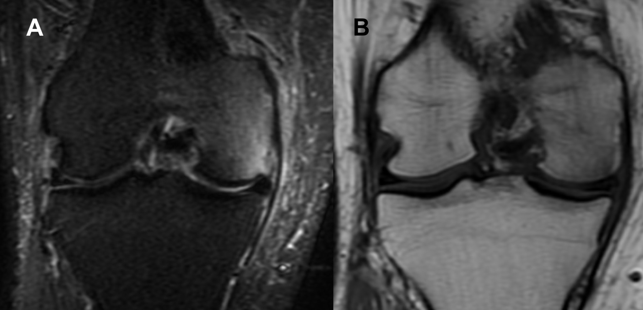
Full remission of symptoms was achieved after approx. 3 weeks of such conservative treatment. Follow-up MRI 10 weeks after presentation revealed near-complete loss of signal in the MFC (Figure 5). There were no adverse or unanticipated events.

Discussion

The 2 cases of PCT-SONK presented in this study add to the differential diagnosis of sudden knee pain in uninjured patients during the ongoing pandemic. It is particularly noteworthy that the radiological findings that constitute PCT-SONK, although similar in both cases presented in this study, are radiologically distinct in appearance from classic SONK (Figure 6). No subchondral bone thickening was observed, and the bone edema was more diffuse in the whole femoral condyle, in contrast to focal edema, which is concentrated mainly around the subchondral region and typically observed in classic SONK (Table 1).

It has been reported that SONK classically occurs in middle-aged females and is caused by excessive stress in the subchondral bone.14 In previously documented cases of SONK unrelated to COVID-19, high rates of surgical intervention, including total knee replacement, resulted in poor prognoses.9 However, in the 2 cases presented in this study, nonoperative treatment yielded good results. The transient nature of PCT-SONK suggests that surgical management should be considered only for progressive cases in which conservative management fails to achieve improvement. Thus, it is of utmost importance, particularly during the pandemic, to raise awareness among sports medicine and orthopedic societies to consider microvascular impairment in subchondral bone as a possible source of sudden knee pain in patients without concurrent trauma or a history of recent injury.

While SONK after COVID-19 in the presented cases may indeed be a coincidence, SARS-CoV-2 infection has been demonstrated to affect nearly every facet of hemostasis. This is likely driven by a combination of a dysfunctional, hyperinflammatory state and direct and indirect endothelial injury, ultimately leading to micro-immunothrombosis both in the lungs and systemic tissues.11, 15 Significant evidence of endotheliopathy and a secondary thrombotic microangiopathy (TMA) or TMA-like phenomenon has emerged. It is often characterized by elevated von Willebrand factor antigen levels and low ADAMTS13 activity,12, 16 overactivation of complement pathways,17 elevated circulating markers of neutrophil extracellular traps,18 high serum lactate dehydrogenase levels,19 and decreased platelet counts,20, 21 as well as the typical clinical manifestations of TMA, such as acute kidney failure.22 Moreover, evidence of SARS-CoV-2 directly infecting endothelial cells has been presented,23 and circulating biomarkers of endothelial injury are frequently reported to be elevated in COVID-19 patients.24 Finally, a TMA-like phenomenon is likely further exacerbated by a state of hypofibrinolysis, impairing the ability to break down newly formed clots in the microcirculation.25, 26

Given the significant potential for multisystem microvascular injury in COVID-19, it can be hypothesized that there is an increased risk of SONK related to COVID-19 – secondary to damage to blood vessels supplying the MFC regions, leading to impaired microcirculation blood flow and tissue perfusion, and ultimately causing ischemic necrosis of subchondral bone.27, 28 Such phenomenon may occur more often in patients with pre-existing, but clinically silent, excessive subchondral bone stress, with SARS-CoV-2 microvascular flow disturbances exacerbating the underlying knee pathology.

Corticosteroids are widely used, sometimes indiscriminately, for the treatment of COVID-19. They could lead to a reduction in bone mineral density (BMD) in patients and subsequently predispose them to SONK, as low BMD has been shown to be associated with the onset of SONK,29, 30 as well as other orthopedic pathologies, such as steroid-induced avascular necrosis of the femoral head.31 However, unlike in many other studies reporting post-COVID-19 osteonecrosis,5, 6, 7 corticosteroids were not administered in either of the cases in this study. As stated in a study by Angulo-Ardoy et al., “it is still unclear whether post-COVID SONK is related to the use of corticosteroids or to the virus itself”.6 While some studies report the development of osteonecrosis after lower doses of corticosteroids, and sooner after their administration than in comparable non-COVID-19 cases,5, 6, 7 this is the first study to report 2 cases with no corticosteroid administration at all. Therefore, the authors believe it adds to the body of knowledge on the potential connections between COVID-19 and PCT-SONK.

A conservative treatment plan should address all etiologic aspects of PCT-SONK. First, reduction of pressure to the affected subchondral bone is achieved by non-weight bearing; second, supplementation of vitamin D and calcium is implemented to enhance BMD restoration; third, pharmacological agents to improve microvascular circulation (i.e., pentoxyfilline) are administered; and finally, anti-aggregative agents, such as acetylsalicylic acid, to inhibit thrombus formation, are given to the patient.32 It is important to emphasize that this approach is supported only by limited observations and based on regular SONK treatment algorithms; further studies utilizing evidence-based methods are required. We emphasize a personalized approach in every case, considering a patient’s general health status and all possible individual contraindications and risks of given therapies.

This study is limited by a relatively short follow-up, although complete radiological and clinical recovery was obtained during the observation period. While this study has no power to identify any causative relationship with SARS-CoV-2, we hope that it will raise awareness and pave the way for broader studies investigating the PCT-SONK phenomenon.

Conclusions

Orthopedic surgeons should be cautious when sudden knee pain without concurrent trauma or a history of injury occurs shortly after SARS-CoV-2 infection, even when the course of COVID-19 was mild. While there are studies reporting post-COVID-19 osteonecrosis after lower doses of corticosteroids and sooner after their administration than in comparable non-COVID-19 cases, this is the first to report 2 cases with no corticosteroid administration at all. The transient nature of symptoms and radiological findings suggest that aggressive surgical treatment of non-injury local bone edema occurring shortly after SARS-CoV-2 infection should be avoided.

Tables


Table 1. Comparison between typical features of SONK and the clinical observations during the 2 reported cases of PCT-SONK

Feature

SONK

PCT-SONK

Subchondral bone thickening with signal intensity increase

yes

no

Bone marrow edema (MRI)

STIR, PD, T1

mostly in STIR

Soft tissue edema (MRI)

no

yes

Tenderness and pain

mostly in the joint line

over the whole medial femoral condyle and surrounding soft tissues

Sudden and unexpected onset of pain

yes

yes

Night pain

yes

yes

Age [years]

>55

~45

SONK – spontaneous osteonecrosis of the knee; PCT-SONK – post-COVID-19 transient spontaneous osteonecrosis of the knee; MRI – magnetic resonance imaging; STIR – short tau inversion recovery; PD – proton density; T1 – relaxation time.

Figures


Fig. 1. Magnetic resonance imaging (MRI) coronal view of the right knee (Case 1) performed in the symptomatic period. There is diffuse increase in signal in the medial femoral condyle in both (A) short tau inversion recovery (STIR) fast spin echo (FSE) and (B) proton density (PD) sequences. It is noteworthy that the signal intensity in the subchondral bone is only slightly affected in the (B) PD sequence. Edema of the soft tissues on the medial side of the joint is also clearly visible
Fig. 2. Follow-up magnetic resonance imaging (MRI) coronal view of the right knee (Case 1) performed after the resolution of symptoms. The signal in the medial femoral condyle in both (A) short tau inversion recovery (STIR) fast spin echo (FSE) and (B) proton density (PD) sequences is almost normal. It is noteworthy that there is no visible soft tissue edema.
Fig. 3. Second follow-up magnetic resonance imaging (MRI) coronal view of the right knee (Case 1). The signal in the medial femoral condyle in both (A) short tau inversion recovery (STIR) fast spin echo (FSE) and (B) proton density (PD) sequences is normal
Fig. 4. Magnetic resonance imaging (MRI) coronal view of the right knee (Case 2) performed in the symptomatic period. There is diffuse increase in signal in the medial femoral condyle in both (A) short tau inversion recovery (STIR) fast spin echo (FSE) and (B) longitudinal relaxation time (T1) sequences. It is noteworthy that the signal intensity in the subchondral bone is only slightly affected in the (B) T1 sequence. Edema of the soft tissues on the medial side of the joint is also clearly visible
Fig. 5. Follow-up magnetic resonance imaging (MRI) coronal view of the right knee (Case 2) performed after the resolution of symptoms. The signal in the medial femoral condyle in both (A) short tau inversion recovery (STIR) fast spin echo (FSE) and (B) longitudinal relaxation time (T1) sequences is almost normal. It is noteworthy that there is no visible soft tissue edema
Fig. 6. Radiological (coronal magnetic resonance imaging (MRI) views) appearance of classic spontaneous osteonecrosis of the knee (SONK) in the right knee. There is a focal signal increase in subchondral bone in both (A) short tau inversion recovery (STIR) fast spin echo (FSE) and (B) proton density (PD) magnetic resonance imaging (MRI) sequences

References (32)

  1. Worldometer. COVID-19 coronavirus pandemic. https://www.worldometers.info/coronavirus/. Accessed August 11, 2021.
  2. Neher RA, Dyrdak R, Druelle V, Hodcroft EB, Albert J. Potential impact of seasonal forcing on a SARS-CoV-2 pandemic. Swiss Med Wkly. 2020;150:w20224. doi:10.4414/smw.2020.20224
  3. Datta PK, Liu F, Fischer T, Rappaport J, Qin X. SARS-CoV-2 pandemic and research gaps: Understanding SARS-CoV-2 interaction with the ACE2 receptor and implications for therapy. Theranostics. 2020;10(16):7448–7464. doi:10.7150/thno.48076
  4. Hønge BL, Hermansen MLF, Storgaard M. Reactive arthritis after COVID-19. BMJ Case Rep. 2021;14(3):e241375. doi:10.1136/bcr-2020-241375
  5. Agarwala SR, Vijayvargiya M, Sawant T. Secondary osteonecrosis of the knee as a part of long COVID-19 syndrome: A case series. BMJ Case Rep. 2022;15(3):e248583. doi:10.1136/bcr-2021-248583
  6. Angulo-Ardoy M, Ureña-Aguilera Á. Knee osteonecrosis after COVID-19. Family Pract. 2021;38(Suppl 1):i45–i47. doi:10.1093/fampra/cmab063
  7. Agarwala SR, Vijayvargiya M, Pandey P. Avascular necrosis as a part of ‘long COVID-19.’ BMJ Case Rep. 2021;14(7):e242101. doi:10.1136/bcr-2021-242101
  8. Karaarslan F, Demircioğlu Güneri F, Kardeş S. Postdischarge rheumatic and musculoskeletal symptoms following hospitalization for COVID-19: Prospective follow-up by phone interviews. Rheumatol Int. 2021;41(7):1263–1271. doi:10.1007/s00296-021-04882-8
  9. Sibilska A, Góralczyk A, Hermanowicz K, Malinowski K. Spontaneous osteonecrosis of the knee: What do we know so far? A literature review. Int Orthop. 2020;44(6):1063–1069. doi:10.1007/s00264-020-04536-7
  10. Mears SC, McCarthy EF, Jones LC, Hungerford DS, Mont MA. Characterization and pathological characteristics of spontaneous osteonecrosis of the knee. Iowa Orthop J. 2009;29:38–42. PMID:19742083. PMCID:PMC2723690.
  11. Lippi G, Sanchis-Gomar F, Favaloro EJ, Lavie CJ, Henry BM. Coronavirus disease 2019-associated coagulopathy. Mayo Clin Proc. 2021;96(1):203–217. doi:10.1016/j.mayocp.2020.10.031
  12. Henry BM, Benoit SW, Oliveira MHS, Lippi G, Favaloro EJ, Benoit JL. ADAMTS13 activity to von Willebrand factor antigen ratio predicts acute kidney injury in patients with COVID-19: Evidence of SARS-CoV-2 induced secondary thrombotic microangiopathy. Int J Lab Hematol. 2021;43(S1):129–136. doi:10.1111/ijlh.13415
  13. Wu X, Luo D, Liu Y, Zeng Y, Gong Y. Continuous thrombocytopenia after SARS-CoV-2 nucleic acid negative in a non-severe COVID-19 patient for several months. BMC Infect Dis. 2020;20(1):774. doi:10.1186/s12879-020-05495-5
  14. Steinbach L, Suh K. Bone marrow edema pattern around the knee on magnetic resonance imaging excluding acute traumatic lesions. Semin Musculoskelet Radiol. 2011;15(3):208–220. doi:10.1055/s-0031-1278421
  15. Henry BM, Vikse J, Benoit S, Favaloro EJ, Lippi G. Hyperinflammation and derangement of renin-angiotensin-aldosterone system in COVID-19: A novel hypothesis for clinically suspected hypercoagulopathy and microvascular immunothrombosis. Clin Chim Acta. 2020;507:167–173. doi:10.1016/j.cca.2020.04.027
  16. Martinelli N, Montagnana M, Pizzolo F, et al. A relative ADAMTS13 deficiency supports the presence of a secondary microangiopathy in COVID 19. Thromb Res. 2020;193:170–172. doi:10.1016/j.thromres.2020.07.034
  17. Henry BM, Szergyuk I, Oliveira MHS, et al. Complement levels at admission as a reflection of coronavirus disease 2019 (COVID-19) severity state. J Med Virol. 2021;93(9):5515–5522. doi:10.1002/jmv.27077
  18. Ng H, Havervall S, Rosell A, et al. Circulating markers of neutrophil extracellular traps are of prognostic value in patients with COVID-19. Arterioscler Thromb Vasc Biol. 2021;41(2):988–994. doi:10.1161/ATVBAHA.120.315267
  19. Henry BM, Aggarwal G, Wong J, et al. Lactate dehydrogenase levels predict coronavirus disease 2019 (COVID-19) severity and mortality: A pooled analysis. Am J Emerg Med. 2020;38(9):1722–1726. doi:10.1016/j.ajem.2020.05.073
  20. Henry BM, de Oliveira MHS, Benoit S, Plebani M, Lippi G. Hematologic, biochemical and immune biomarker abnormalities associated with severe illness and mortality in coronavirus disease 2019 (COVID-19): A meta-analysis. Clin Chem Lab Med. 2020;58(7):1021–1028. doi:10.1515/cclm-2020-0369
  21. Lippi G, Plebani M, Henry BM. Thrombocytopenia is associated with severe coronavirus disease 2019 (COVID-19) infections: A meta-analysis. Clin Chim Acta. 2020;506:145–148. doi:10.1016/j.cca.2020.03.022
  22. Cheruiyot I, Henry B, Lippi G, et al. Acute kidney injury is associated with worse prognosis In COVID-19 patients: A systematic review and meta-analysis. Acta Biomed. 2020;91(3):e2020029. doi:10.23750/abm.v91i3.10222
  23. Liu F, Han K, Blair R, et al. SARS-CoV-2 infects endothelial cells in vivo and in vitro. Front Cell Infect Microbiol. 2021;11:701278. doi:10.3389/fcimb.2021.701278
  24. Henry BM, de Oliveira MHS, Cheruiyot I, et al. Circulating level of Angiopoietin-2 is associated with acute kidney injury in coronavirus disease 2019 (COVID-19). Angiogenesis. 2021;24(3):403–406. doi:10.1007/s10456-021-09782-w
  25. Henry BM, Benoit SW, Hoehn J, Lippi G, Favaloro EJ, Benoit JL. Circulating plasminogen concentration at admission in patients with coronavirus disease 2019 (COVID-19). Semin Thromb Hemost. 2020;46(7):859–862. doi:10.1055/s-0040-1715454
  26. Henry BM, Cheruiyot I, Benoit JL, et al. Circulating levels of tissue plasminogen activator and plasminogen activator inhibitor-1 are independent predictors of coronavirus disease 2019 severity: A prospective, observational study. Semin Thromb Hemost. 2021;47(4):451–455. doi:10.1055/s-0040-1722308
  27. Ramani SL, Samet J, Franz CK, et al. Musculoskeletal involvement of COVID-19: Review of imaging. Skeletal Radiol. 2021;50(9):1763–1773. doi:10.1007/s00256-021-03734-7
  28. Pareek A, Parkes CW, Bernard C, et al. Spontaneous osteonecrosis/subchondral insufficiency fractures of the knee: High rates of conversion to surgical treatment and arthroplasty. J Bone Joint Surg. 2020;102(9):821–829. doi:10.2106/JBJS.19.00381
  29. Akamatsu Y, Mitsugi N, Hayashi T, Kobayashi H, Saito T. Low bone mineral density is associated with the onset of spontaneous osteonecrosis of the knee. Acta Orthop. 2012;83(3):249–255. doi:10.3109/17453674.2012.684139
  30. van Niekerk G, Engelbrecht AM. Inflammation-induced metabolic derangements or adaptation: An immunometabolic perspective. Cytokine Growth Factor Rev. 2018;43:47–53. doi:10.1016/j.cytogfr.2018.06.003
  31. Zhang S, Wang C, Shi L, Xue Q. Beware of steroid-induced avascular necrosis of the femoral head in the treatment of COVID-19: Experience and lessons from the SARS epidemic. Drug Des Devel Ther. 2021;15:983–995. doi:10.2147/DDDT.S298691
  32. Undas A, Brummel-Ziedins K, Mann KG. Why does aspirin decrease the risk of venous thromboembolism? On old and novel antithrombotic effects of acetyl salicylic acid. J Thromb Haemost. 2014;12(11):1776–1787. doi:10.1111/jth.12728